Premium Content
Premium Content
Premium Content
Straws are discrete research notes that relate to a particular aspect of the company. Grouped under #hashtags, they are ranked by votes.
A good Straw offers a clear and concise perspective on the company and its prospects.
Please visit the forums tab for general discussion.
Done Deal

Price sensitive ASX announcements for Anteris are coming at me thick and fast this morning — faster than I can run all the PDFs through ChatGPT almost.
The gist of them is that the: public offering has closed; Medtronic is now confirmed as a cornerstone investor and will be the preferred partner for any later acquisition; and Anteris has raised $320 million USD for dilution of about just over 50%.
It still boggles my mind just how much can be done — and just how quickly it gets done — in the United States. The Paradigm trial is now fully funded. And the world’s second biggest TAVR player have been outed as DurAVR fanboys.
Links to ASX announcements for those interested:
CEO Paterson on Medtronic Deal

Concise interview with CEO Wayne Paterson discussing the most recent cap raise and Anteris’ future trajectory:
Struck Oil

A cheeky $200 million USD placement by massive competitor Medtronic wasn’t on my bingo card this morning — but I’ll take it.
Sit back and watch time.
Possible Omen of News

Something is brewing in the Nasdaq Anteris price tonight. At least a 20% jump on over 4X the average volume — all on no news.
Could be news leakage of first US Paradigm implantation? Who knows.
There might be an ASX spending ticket if we follow suit in trading today and no updates to the market.
Analyst Coverage
Apparently TD Cowen analyst Josh Jennings is maintaining his buy rating on Anteris with a price target of $15 USD. He’s after a 3 bagger and I’m after a 10 bagger — Tomayto, Tomarto.
Pablo E. Bruh’s Top 5 Reasons to Buy AVR

I’ll admit it. As I wallow in this lonely unventilated barn of stale, rotting, self-indulgent straws, I’ll concede that this ageing bull does tend to go on a bit about Anteris. For anyone new to it (or just morbidly curious) I’ve compiled this summary of my 5 main themes to spare you the unpleasantness of foraging in this bilge. For those patient (perhaps slightly concerned) more familiar readers, these are also the reasons I think Anteris is a less risky proposition now than when you first heard about it.
In any event I can feel this beast stamping in its stall and I think it will be busting out of here soon, so here goes:
Thanks for reading, and perhaps giving it a second thought. Feel free to tell me why I’m crazy in the comments, or to even add your own alternative valuation.
First patients treated in PARADIGM trial
The first patients (note the plural!) have now received DurAVR in the paradigm trial. Now with as few as only 998 more to go. This is great news:
Unfortunately, the company is in another of couple days of no ASX trading finalising the cap raise. May see a bump in Nasdaq AVR tonight. Handbrake probably won’t really come off until the FDA IDE announced.
Anteris Press Release for 1 year clinical data for 100 patients
Link here and reproduced below:
Mon, 27 Oct 2025 08:43:48 -0400 | Globe Newswire
MINNEAPOLIS and BRISBANE, Australia, Oct. 27, 2025 (GLOBE NEWSWIRE) -- Anteris Technologies Global Corp. (Anteris or the Company) (NASDAQ:AVR, ASX: AVR)), a global structural heart company committed to designing, developing, and commercializing cutting-edge medical devices to restore healthy heart function, today announced that one-year clinical outcomes with the DurAVR® Transcatheter Heart Valve (THV) will be presented by Rishi Puri MD PhD, at TCT® 2025 – The 37th Annual Transcatheter Cardiovascular Therapeutics®Conference, taking place in San Francisco, California, October 25-28, 2025.
An oral presentation is scheduled for Monday, October 27 (2:27pm GMT-7) in the Innovation Theater, Hall E, Exhibition Level, Moscone North, Moscone Center, as part of "Innovation Session 11: Emerging Concepts and Technologies in TAVR", entitled "The DurAVR®Biomimetic TAVR System in Patients with Small Aortic Annuli (Anteris): One-Year Clinical and Hemodynamic Outcomes". The presentation focuses on one-year clinical outcomes for the DurAVR® THV in symptomatic severe aortic stenosis patients with small aortic annuli (aortic annulus area 396 + 37 mm2).
The encouraging clinical outcomes observed to date in over 100 patients implanted with the DurAVR® THV will be further evaluated in the Company's global pivotal trial (the "PARADIGM Trial"). The PARADIGM Trial is a prospective randomized controlled trial (RCT) which will evaluate the safety and effectiveness of the DurAVR®THV compared to commercially available transcatheter aortic valve replacements (TAVRs) in the treatment of severe aortic stenosis.
About Anteris
Anteris Technologies Global Corp. (NASDAQ:AVR, ASX: AVR)) is a global structural heart company committed to designing, developing, and commercializing cutting-edge medical devices to restore healthy heart function. Founded in Australia, with a significant presence in Minneapolis, USA, Anteris is a science-driven company with an experienced team of multidisciplinary professionals delivering restorative solutions to structural heart disease patients.
Anteris' lead product, the DurAVR® Transcatheter Heart Valve (THV), was designed in partnership with the world's leading interventional cardiologists and cardiac surgeons to treat aortic stenosis – a potentially life-threatening condition resulting from the narrowing of the aortic valve. The balloon-expandable DurAVR® THV is the first biomimetic valve, which is shaped to mimic the performance of a healthy human aortic valve and aims to replicate normal aortic blood flow. DurAVR® THV is made using a single piece of molded ADAPT® tissue, Anteris' patented anti-calcification tissue technology. ADAPT®tissue, which is FDA-cleared, has been used clinically for over 10 years and distributed for use in over 55,000 patients worldwide. The DurAVR® THV System is comprised of the DurAVR® valve, the ADAPT® tissue, and the balloon-expandable ComASUR® Delivery System.
Forward-Looking Statements
This announcement contains forward-looking statements, including statements regarding the results of the PARADIGM Trial and the contours of the PARADIGM Trial. Forward-looking statements include all statements that are not historical facts. Forward-looking statements generally are identified by the words "believe," "project," "expect," "anticipate," "estimate," "intend," "budget," "target," "aim," "strategy," "plan," "guidance," "outlook," "may," "should," "could," "will," "would," "will be," "will continue," "will likely result" and similar expressions, although not all forward-looking statements contain these identifying words. These forward-looking statements are subject to a number of risks, uncertainties, and assumptions, including those described under "Risk Factors" in Anteris' Annual Report on Form 10-K for the fiscal period ended December 31, 2024 that was filed with the SEC and ASX. Readers are cautioned not to put undue reliance on forward-looking statements, and except as required by law, Anteris does not assume any obligation to update any of these forward-looking statements to conform these statements to actual results or revised expectations.
Investor Deck

There was a link to this investor deck in an SEC filing overnight which Anteris appears to have used in its latest capital raise.
No further details that I could see regarding interim readouts @mikebrisy. However, to the extent your question may have been about early share market realisation of value I have included the above slide. I’m still learning about ‘continued access revenue’ but my understanding so far is that certain (or all US centres) in the trial will be able to continue with implantation beyond the 1000 patients before the PMA. Anteris can still charge US $25,000 a device. My estimates of the margin of this is that it is still more than 50%, meaning Anteris has the potential to approach near commercial levels of sales before the PMA in the US.
The deck also does give a couple of anticipated milestones. Also a couple of diagrams for where the aortic stenosis and valve-in-valve components diverge, as well as differences between and FDA vs Europe CE mark.
Trading halt for cap raise. I’m expecting 100 million US dollars or so with significant (about a third) dilution:
Proactive Investor’s latest interview with CEO Wayne Paterson. It’s mostly Paterson’s practiced patois, nothing groundbreaking.
I’ve linked the video at the bottom, but the only interesting/new points for me are:
Coming soon…

I couldn’t see Meg Ryan this time, but it is still promising lots of stars in the TAVR space. This holidays’ hottest accessory:
https://x.com/anteristech/status/1981058039240069315?s=46&t=9gCnoC2XgU49IFy4DjUAFg
Europe First

More breathing space. European regulatory approval for the Paradigm trial to commence has been received ahead of US. It wasn’t supposed to happen this way. True, the European regulators now have that extra competitive edge of actually receiving their salaries for their hard work. What a mess, and what a thing for the US to have eroded so quickly. Hopefully the US and the FDA pull themselves together soon.
Article here:
On a personal note — and in another first — I’ve been beaten to the punch on Anteris in Strawman! Well done @MacTavishNat! And outside of Aussie business hours too. Perhaps this portends the start of more Strawman engagement for Anteris.
Flight of Capital

Anteris’ announcement today is of a type that is now a fairly generic summary of ASX CDI to US NASDAQ common on about a monthly basis [ASX announcement 02/10/2025].
Today’s details the movement of about 160,000 CDI to US common stock in the last month. Around about $1 million AUD, not a trivial amount.
There have been a couple of months where the movement was towards our side of the Pacific, but these have been only small amounts and the trend is overwhelmingly the other direction.
From about 20 million CDI at the start of the year to just over 14 million now.
In the scheme of things it’s probably not particularly important or meaningful. However, I find it interesting to try and work out what’s going on.
I’ve come up with what I think are the three most likely reasons:
Whatever the reason, the trend is ultimately more shares being held in US accounts and less in Australia. I can’t really see any benefit for an Australian investor to be transferring to US holdings. So what’s left is that Americans are buying the shares Australians are selling. True I am a bull on this, but I think we are selling them too cheap. We should pay attention to the value others are seeing here.
Buzzer Beater?

Two business days left in Q3. This is the surest sign I’ve seen that perhaps Anteris will be pulling a rabbit out of the hat tomorrow:
https://clinicaltrials.gov/study/NCT07194265?cond=Aortic%20Valve%20Stenosis&rank=2
Unlike a PMA, there is no US Government website that announces IDEs. This is a pretty good sign but in my book. Hopefully there will be some update at Anteris’ meeting on Monday 29th Sep (US time).
Party Poopers

I’m glad that Anteris is not actually my real baby, because then I’d actually be worried that no one ever turns up to this kid’s party.
Anteris has announced the third postponement of the Special Meeting in as many weeks. Still no quorum, and still not enough votes.
Hopefully there’ll be more news come the 29th September 2025. Also, the market will definitely be due an update if PARADIGM trial yet to start by then.
Bit of momentum in the right direction recently.
Good journal article on Anteris’ DuAVR credentials for valve-in-valve and re-do TAVR:
Bridge of Expectations

As someone not unaccustomed to small exasperated voices demanding “are we there yet?” or “how much longer?” I’m actually developing an empathy for CEO Wayne Paterson when things just don’t pan out the way they are supposed to.
Q2 and, by extension half-yearly, results both out here today and overnight in the US have given few surprises.
The preparation for the trial to date has cost $41 million USD in the past 6 months, so we are averaging a 20.5 million USD burn per quarter with $28 million USD left for Q3 which we are near the middle of already.
Unfortunately, we are still no clearer on when the Oracle of the FDA will finish their examination of the newts innards, cross-referenced with the astrological charts, and declare that the tidings are indeed positive for science to begin.
In equity terms this is a most expensive time for delays. Presently at only 36 million shares and nearly no debt, one of Anteris’ strongest qualities could be eroded away in the matter of quarters if things aren’t rectified. It’s a bit like that period where a non-property investor is holding onto their old house after they’ve settled on the new — that bridging period just can’t be over quickly enough, and it’s definitely not sustainable in the long term.
If the special meeting in September doesn’t pass the proposal for the ASX waiver the board will have one more small 15% raise at low prices (generating only enough for a further quarter) before being entirely reliant on luck (in the form of options coming into the money), debt finance, or the collective wisdom of shareholders.
There is a brave and determined face to the filings — and that we now have 130 patients implanted is also impressive — but something really needs to break Anteris’ way. Like Wayne Paterson, every other shareholder, and Shaboozey all I really need is a little good news. Surely at some point fate has got to be left holding nothing but a hot deck, whereupon odds are that it shall indeed rain, amen.

Growing Pains

It was only a matter of time before a teenage Anteris decided it was just a bit too cool for its daggy Australian parents with their quaint ASX rules about not issuing more than 15% of the company in shares without shareholder approval.
More details of the proposal have now been lodged with the SEC.
The rationale is that Anteris is still not fully experiencing the land of the free in all its capital raising glory. As Homer learned the hard way, from the clenched fist of a US Marine, you can’t just be a little bit in the United States. It’s all or nothing.

$88 million USD from the NASDAQ IPO was pretty big..I guess…but it’s clearly not enough.

A further $150 to $200 million USD ought to do it, to get us through the next 18 months to 2 years of the PARADIGM trial given that we are burning about $25-$30 million USD a quarter. Somewhere around the middle —say raising $150 million USD at $8 USD a share and diluting by about a third would be very acceptable to me.

Best case scenario is that a raise comes after some inflection point, such as the first patient of that trial which was due “Julyish” according to CEO Wayne Paterson. That hasn’t happened yet, nor has the confirmation of the FDA IDE.
Whatever that catalyst is, it’s very unlikely to be the quarterly results out this coming Tuesday which shows a further loss only slightly less than the last quarter [link to source article]. Interesting though that the analysts seem to still be predicting positive earnings for the next two calendar years.
I won’t be rushing to update my valuation. Even if a large capital raise occurs soon. It sounds lazy (and I am definitely guilty of that) but it is also true that value is value is value. My valuation is simple and accounts for significant dilution to move us further along the development spectrum. Nothing much changes just because a bandaid is ripped off sooner rather than later. With each positive move along that vector Anteris is steadily de-risked, capitalised, and has an even higher potential of capturing more market share. How ever big this pizza gets if you can get a slice for under $44 I think you are getting a good deal.
You can get such a slice for about $5.50 at the moment and there is a very big chance there will be even better bargains in the coming months. Such buyers will have my jealousy. I’ve been in the muddy trenches with Anteris for too long to have any dry powder left. I would love to be in the position of knowing what I think I know now and being able to scoop some of these up for potentially under $2 USD, and doing so at a point in time where the company is so well placed and the investment horizon is so close. If you can get them for that more power to you for picking the market bottom as your entry point. I don’t think you’d regret doing that. However, you might kick yourself if you miss an opportunity to buy what could become an Aussie icon for what later turns out to be a steal.

It remains to be seen why, specifically, this is a material announcement. Anteris has renewed its manufacturing contract with Switchback Medical — a small privately owned company.
SEC and ASX announcements in the links.
One could make the argument that the mere act of contracting anything beyond a month or two is a positive sign for a company with less than two quarters of cash left.
But I think I might be reading something deeper into these tea leaves. Anteris has been very quiet lately. Especially for an otherwise very self-promotional company. I’m wondering if there is a third entity in the background of this deal, doing due diligence and insisting on continuity of supply (and supply at scale) before a partnership or licensing agreement is announced.
We’ll see by the time Q3 results are announced it seems — and if there is no cap raise before then.
In the meantime there are the Q2 results to come first and they won’t be pretty. If there is anything positive in the wind punters are probably going to have a few chances yet at these low, low, low prices.
Risky Disruptions

I was broadly aware of the issue, but although this article is a couple of months old it’s the first time I’ve waded into this level of detail:
https://www.medpagetoday.com/opinion/faustfiles/115367
I’m now prepared to consider the current FDA approval process as being it’s own independent risk.
No government agency is ever perfect. Realists understand that there are often going to be: tolerable and workable biases; occasional instances of regulatory capture; and manageable interferences of an ideological or political nature at the fringes. In the free and developed world those dynamics are general knowable and predictable. Where ultimately it’s the science that is still king.
Anteris’ strategy has been optimised to compete on that playing field with the goal posts set where they have been for the past couple of decades. I’m hopeful that they haven’t yet moved — or have moved negligibly. However, it would be naive to look at the current landscape of the executive branch of the US government and assume nothing has changed.
For example, Anteris’ use of US facilities and US labour helps from a tariff perspective — but within that ‘pro’ is the tacit acknowledgment of the ‘con’ of the volatility of commercial realities in the US. So too, that familiar notion that separate departments, and agencies in those departments, operate with autonomy within clearly defined boundaries, needs re-examination. Just a brief look at the news with respect the very separate areas of crypto regulation and the (albeit never uncontroversial) area of presidential pardons is enough to at least raise questions and for one to be guarded about the blurring of lines and beware of a potential lack of transparency in incentives.
In a similar vein — I’m taking little comfort that for the moment the changes are largely focused on Pharma and not Medtech. Because of that phrase ‘for the moment’.
So it’s a risk that that’s now on my radar as its own distinct ‘bogey’. Not a particularly actionable one at this point. In some respects it’s already baked into the margins of safety of my valuation by way of: expected dilution due to the length of the approval process; discount rate; conservative revenue projections; and low market sentiment metric (ie P/E). Still, it will be a factor in any updates to my valuation going forward.
In fact, I take some comfort in reading this in light of the apparent delays in Anteris obtaining IDE approval for an application lodged as early as February 2025. Since that time there have been other IDE approvals granted for other companies including those in the structural heart space (even some TAVR products). However, without knowing when those applications were submitted it’s impossible to draw any inference about any delay being specific to Anteris. But again — and perhaps this is the optimist in me — I’m encouraged to see that while the FDA may be slower, it certainly hasn’t ground to a halt.
CSI Frankfurt

It’s a conference organised by the CSI (Congenital, Structural, and Valvular Heart Disease Interventions) Congress.

It looks like there was a live presentation yesterday in DurAVR by another TAVR heavy-hitter, Professor Ole De Backer. Anteris is gaining some broad traction in the credibility game.


New Anteris Videos for DurAVR

Three part video series produced by Anteris. Speaks to unique qualities of DurAVR and goes into details of upcoming PARADIGM trial:
Ep 1 https://youtu.be/4y5NC5cqKcg
New Directors
Anteris’ latest SEC filing [link here] details the addition of two new directors and the departure of another. Dr Wenyi Gu is a legacy appointment from the now spun-off vaccine development component of Admedus (as Anteris was formerly named). His expertise is in immunology and vaccines. His resignation was not unexpected and appears to be amicable.
Gregory Moss appears to be his immediate replacement. A lawyer admitted to jurisdictions of both Australia and the United States — he appears to be either another expat like Wayne Paterson, or an American with strong ties to Australia. His bio from his current employer (Evommune) indicates he has a background in compliance and some experience with acquisitions. He seems like a good choice for the company that Anteris is at the moment — with a footing on both sides of the Pacific and likely to need a good lawyer.

The second new director is David Roberts — President of NASDAQ company LeMaitre Vascular. It seems like another good choice, bringing experience and credibility from the American medtech space. LeMaitre currently holds the licence to sell Anteris’ ‘Cardiocel’ tissue repair product (part of the ADAPT platform). With a market cap of 1.9 billion USD they could make a sensible suitor for a partnership if Anteris’ capital situation becomes grim.

Slow News Days…

I’ve been finding myself more impatient than usual for actual Anteris news and have been pondering why that is the case. Even allowing for the notion that the scheduled commencement of the pivotal trial is a critical milestone for Anteris, I’ve had more of a sense there there is a decision that I have to make somehow. The last meaningful announcement for Anteris was for its quarterly results published last month [ASX announcement 14/05/2025]. Even with their positive spin it’s hard not to read into it that both timeframes and costs are running beyond the best, or most optimistic, expectations of management. This — coupled with some helpful and poignant prompting from the Strawman community — has forced me to consider just what are the full implications of this news.
I’ve concluded that it’s not a thesis breaker, or at least not yet. But, I do have to concede that every delay — and every dilutive raising of capital — is a problem for my valuation. Too many of either could eventually damage my multi-bagger investment thesis. And without this being a multi-bagger then I’m just not interested. If I wanted smaller returns for my money I’d stick to the NASDAQ 100 rather than deal with the risk of a TAVR start-up.
I’ve been operating on the basis that the US IPO is a net-positive, in that it presents the optimal forum for future capital injection / partnerships / acquisition. However, I am not yet prepared for the opposite side of that coin: the confronting thought that I may, in fact, be dealing with an efficient market — that Anteris is actually priced correctly.
However, I’m also conscious that I’m straying into ‘over-thinking’ territory here. I do find it hard to accept that Anteris is actually only worth a couple of hundred mil more than its current cash position. For that reason I’ve decided it might be time for me to take some advice from Charlie Munger and that perhaps I’m at the the ‘sit-on-my-ass’ stage of this particular investment. The news will come and the chips will fall where they may, hopefully without taking my net worth with them.
I’ll revisit my valuation at the end of Q3 and see where I am at.
Potential longer-term TAVR disruptor

I find this type of thing spooky frankly:
https://www.medtechdive.com/news/bivacor-fda-breakthrough-titanium-total-artificial-heart/749506/
Obviously this particular device is being implanted during open-chest surgery and only in the sickest of patients — so not an immediate threat to TAVR. But it’s just another unique example that time in this industry does not stand still. Even best case scenario Anteris may only have a few years at the top of the heap whilst ongoing innovation whittles away its edge.
State of Play

This diagram from January 2024 is probably still the best way to visualise the competitive landscape of TAVR [link to source article here for those interested]. At first glance it may look like a crowded field, dig a little deeper but and Anteris’ opportunity becomes clearer.
There are really only two players — top left is Medtronic’s Evolut series. Clinically superior but it only gets to second place, largely due to it being self-expanding (slightly harder and longer for surgeons to operate with).
Bottom left is Edwards Lifesciences Sapien series. Balloon-expandability has allowed them to be the market favourite despite slightly worse clinical outcomes than Evolut. Edwards has now also bought Jenavalve (second middle row).
Boston Scientific’s ACURATE series (top middle), gone. Just gone despite BSX having sunk hundreds of millions of dollars into it and it having European approval. Essentially there was just no more space in the market for another self-expanding TAVR, and BSX has recognised this.
To be a viable contender for TAVR market share you need to be both clinically superior and balloon expandable. Without both of those you won’t be able to challenge the status quo of a multi-billion dollar industry where actual lives are at stake. You need to provide incentives. For those still looking at the TAVR bingo card you can probably also discount Meril Life Sciences’ MyVal — balloon expandable yes, but every indication is that it is clinically inferior to Evolut.
To usurp the crown you have to be the best. That’s what Anteris will be trying to prove in their proposed PARADIGM study [ASX announcement 14th May 2025] where they plan to go head-to-head against ‘standard or care’ (Medtronic & Edwards). Just to design this type of study, directly in the US, is a bold vote of confidence of those at Anteris for their product DurAVR.
I think it is a well-founded confidence. It’s a new generation of TAVR, ‘biomimetic’ — designed to mimic the body’s anatomy and all patent-protected to turn that edge into a moat.

A Good Tradesman Never Blames His Tools…

There were signs. The stakes weren’t as high, so maybe nobody really noticed until we gained the benefit of hindsight. It didn’t seem stupid or reckless, but perhaps it never seemed like a really compelling idea either.
I’m talking about Boston Scientific’s attempt to be the third player in TAVR with its ACURATE Neo2. The Lancet has published the write up of the trial which failed to show non-inferiority to Edwards’ Sapien and Medtronic’s Evolut [link to article].
I’m talking about that. But I could equally be talking about Woolies having a crack on the tools with Masters. Or Bunnings going to the UK for some reason. None of these companies experienced catastrophe for taking those risks and failing — and none of these companies really offered their respective markets anything that was new or what those markets apparently wanted.
Anteris is very different. A failure of the type experienced by Boston Scientific (BSX) is definitely a multi-bagger thesis killer for Anteris — but what it offers in terms of sheer potential, is also different. It feels different because it is different. It’s not the middle tool at Bunnings between the premium brand and the generic. It’s not a big corporate with an underperforming division having a stab at getting some low-hanging fruit just because it’s a big company and that’s what big companies sometimes do instead of paying dividends to their owners. Anteris’ opportunity is to be the best, or be not much at all.
Boston’s ACURATE Neo 2 was never that. BSX can take or leave TAVR. It’s big enough already without it. I’ve posted this article before from about when Boston Scientific’s failure was first breaking in October last year:
In it Dr Reardon — now on Anteris’ scientific board — explained a major failure of ACURATE Neo 2 appeared to be the self-expanding mechanism. Essentially, surgeons not expanding the valve fully enough because, understandably, they prefer balloon expansion. BSX just had the wrong tool for the job, and it sounded a little like they wanted to blame the doctors.
At the start of BSX’s ACURATE Neo 2 Investigational Device Exemption (IDE) they weren’t even looking the best on the data that was already out there —with many hundreds of more patients than Anteris. When it comes to Aortic Valve Replacement lower pressure mean gradients are the best. The best FDA approved product is Evolut at 7.5mm Hg. It’s self-expanding and that’s annoying and fiddly, so most surgeons use the balloon expandable Sapien, at the slightly higher 11.2mm. In 2022 ACURATE Neo 2 sat between the two at 8.0mm.
Meanwhile Paterson is talking about patients regularly getting mean gradients of 5.0 mm Hg. Under that you don’t have aortic stenosis, so you can’t really get much better than that. Which means the outliers in the standard deviation are all at the other end of the spectrum. So Anteris’ 1 year data of the first 37 patients reporting mean average of 8.6 mm Hg — a whole stack of them quite elderly and very sick patients in Georgia — is a potentially a very misleadingly unfavourable comparison to the mean gradient’s BSX could show (having exposure to healthier and younger cohorts) when their IDE started in 2022.
BSX’s main competitive advantage was its regulatory approval in Europe. Expansion into the lucrative US market just made sense. They wanted to get a share of that middle space and they were in a position to get there faster than anyone else — until they just weren’t good enough. That’s all.
Anteris wants to be the best, and most at the company seem to think they are the best. The premium product. There is a market for that — the margins are higher and more people will pay over the odds for a premium ticker valve than would buy an $85 hammer, when there are two next to it for less than half that price.
One of Anteris’ first customers could even be Boston Scientific.
Anteris pushing boundaries…

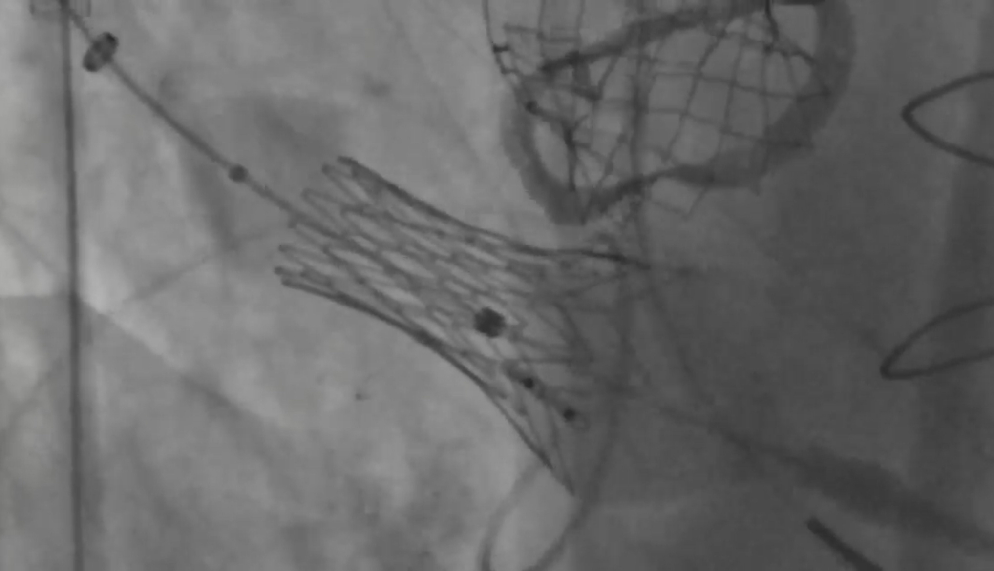
The above image is a screenshot from an Xray Fluroscopy video of a world first Valve-in-Valve replacement of both the Aortic valve and the Mitral valve of a patient using Anteris’ DurAVR. Hopefully there is an official Anteris press release this week about this.

This is exceptional as DurAVR — as the name suggests — is designed only for Aortic Valve Replacement, but clearly has some versatility. Without the text I’ve pasted below I’d have no idea what I was looking at, but you can see the mesh frame in the top right is already expanded — that is the Aortic DurAVR from the month before. The one on the left is the Mitral DurAVR implantation during the balloon expansion. There appears to be no previous mesh frames/stents as the earlier valve replacements in this patient were surgical (as opposed to Transcatheter as in TAVR). In both cases the DurAVR is placed inside the surgically replaced valves, which themselves are inside the patient’s failed native valves. Dr Meduri is Anteris’ Chief Medical Officer.
——
Click here for link, but extract (without video) from Dr Meduri’s LinkedIn post is below:
Structural and Interventional Cardiologist at Karolinska University Hospital and Chief Medical Officer for Anteris Technologies
1d
First-in-Human Dual Valve-in-Valve Success with DurAVR™ THV
We are proud to share a groundbreaking case highlighting the versatility and performance of the DurAVR™ Transcatheter Heart Valve (THV) Anteris Technologies in both aortic and mitral valve-in-valve (ViV) procedures.
Patient Profile:
• A patient presented with a failed 25mm Sorin Crown aortic valve (True ID 21mm) exhibiting a mean gradient (MG) of 55 mmHg.
• Additionally, the patient had a degenerated 31mm SJM Biocor Epic mitral valve (True ID 27mm) with severe mitral stenosis (MG 18 mmHg) and moderate to severe mitral regurgitation.
Aortic ViV Procedure:
• The aortic valve was addressed first with a straightforward transfemoral approach
• Utilizing DurAVR™’s precise commissural alignment capabilities, the valve was successfully deployed with perfect alignment to the surgical valve.
• This resulted in a remarkable reduction of the MG to 5 mmHg at the 30-day echocardiographic follow-up.
Mitral ViV Procedure:
• One month later, a transseptal approach was employed for the mitral ViV.
• The deployment was straightforward, and post-procedure assessments revealed:
- Mean gradient of only 2 mmHg
- No residual mitral regurgitation
- Beautiful flow through the valve as seen on the TEE images in the surgeon's view, demonstrating the full opening of the biomimetic leaflet design.
Key Highlights of DurAVR™ THV:
• Exceptional Hemodynamics: Achieves low transvalvular gradients in both aortic and mitral positions.
• Versatile Deployment: Demonstrates effective performance in both transfemoral and transseptal approaches.
• Innovative Design: Features a single-piece, biomimetic ADAPT® tissue design that facilitates optimal leaflet coaptation and flow dynamics.
This case exemplifies the promising capabilities of DurAVR™ THV in addressing complex structural heart interventions. Much more coming in the upcoming PARADIGM Global trial! Incredible collaboaration across physicians and the Anteris team to successfully treat this patient! Vinayak Bapat Rishi Puri, M.D., Ph.D., F.R.A.C.P. Kari Feldt M.D. Won-Keun Kim Miho Fukui Marcus R. Burns Maia Zhividze Teona Zirakashvili Madhulika (Maddy) Srikanth Jason Quill Jamie Hughes, PT, MBA Angela McGonagle Udo van der Meulen Philip J. Olson Sophie Van Creij-Meewis Gary Mulkins, MBA, (RT)(CV) Justin Coe @courtneymcalister Salem Cherfi
Baggage Fees

It’s fantastic that Anteris has landed in the US now, but as we set the blowtorch to the $85 million USD we raised it’s apparent that we’ve flown Jet Star. We can therefore expect the associated oddly itemised fees for stuff you would have just thunk was, doggone it, already dang included. Oh, you’re travelling with a suitcase and you plan on consuming oxygen during the flight? We will have to apply a surcharge for that sir.
It seems setting up a pivotal trial is a bit like that with increasing staff numbers, production capacity, and inventory. Capital essentially. Costly stuff. Turns out all of these are precursors to cashflow which itself, apparently, begets something called “profit”. A whole tonne of practicalities that Anteris really didn’t have to think about at all when we were just selling a dream.
Viewing US ‘Proactive Investor’ content is something of a novelty but. Here’s the latest interview from CEO Wayne Patterson on the recently announced Q1 results:
Key takeaways for me:
I’m just massively bullish on this company at the moment. This thing is a powder keg just waiting for a spark. Poor old Wayne Paterson has been dancing in his sandwich board by the side of the Equity Pricing Highway for so many years now that he is just part of the scenery. Yet I feel ignoring him this year would be a mistake. He spruiks the essential value proposition of Anteris but the market continues to price his ideas like they are just some optional extras. With his 30,000 odd shares and about 1.3 million in options, I am hoping he gets the last laugh — all the way to the bank.

I’m looking forward to watching this. But it’s an hour long and has found me during a time-poor couple of days. I will check it out properly and add any relevant thoughts later in the week:
New peer-reviewed publication of DurAVR claim to superior anti-calcification properties and durability vs competitor tissue:
https://www.frontiersin.org/journals/cardiovascular-medicine/articles/10.3389/fcvm.2025.1512961/full
This has possibly come about as part of the Investigational Device Exemption (IDE) process necessary for approval for an FDA pivotal trial. First patient implanted in that trial is still planned to occur by end of September 2025.
It can also serve to bolster Anteris’ marketing claims on this topic — particularly as a point of differentiation between incumbents when raising further capital or in merger & acquisition negotiations.
The NASDAQ price for Anteris hit a high overnight with a near 4% bump. I went looking for a reason. I’m none the wiser in locating the mechanism (Anteris’ performance on the ASX on Mon 10th Feb had only brought it closer to parity for NASDAQ’s Friday close).
However, I did find this American podcast which CEO Wayne Paterson did with ‘Medical Alley’.
I was impressed with both the level of detail the audience must be interested in, and just how well Paterson’s trademark patter plays in a US context. He is in his element.
Legacy Media

It’s a shame no one interesting actually tweets anymore. Otherwise people would see this instead of wading through AI generated engagement and the trivial grievances of the world’s richest man.

It’s also a shame no one watches free to air TV anymore. Otherwise they would be able to catch a pretty slick infomercial hosted by Meg Ryan on CNBC in the United States tomorrow our time.
And it’s a shame that I’m part of a group which is getting smaller in that I remember Meg Ryan. It’s also a shame that emails are almost never exciting these days.
I am certainly no expert, so I can’t fault them. I don’t know where the eyeballs are going these days. More important than all this however is why is Anteris doing paid advertising in the first place? They have no marketable product at this stage, and recruiting for the FDA trial is some time away yet. True, there are a few ads about for jobs, some of them key positions, but a television campaign for a few jobs seems like overkill. However, the real product at the moment — I think — is the shares themselves.
The fiscally conservative value investor in me (there is still a bit of him there) does wonder how much we actually paid for this.
Out of further curiosity — and because I hadn’t heard the name for a while — I Googled this.

I’m sure that it’s just a coincidence that this figure is about the same as the $88 million USD raised in the IPO.
I’m confident they know what they’re doing.

Post-IPO publicity commences [Link to article and video].

Staying Green
So I seem to learn more about how much I just don’t know every day. Despite following this US IPO closely I haven’t really understood the over-allotment provision or “Green Shoe” option until now [Investopedia explanation here].
The SEC allows for up to a 15% additional allotment to be purchased by the underwriters at the IPO price for a period of 30 days. So in this case an additional 2.2 million shares to the original 14.8 million for the IPO [details here]. From the underwriters point of view this can make a short position to that tune of that same percentage a bit of a no-brainer — with your downside in the event of a short squeeze capped at the $6 IPO price.
ASIC appears to allow this — in what might otherwise be considered a market manipulative — situation under some market stabilisation exemptions. However, daily disclosure of this activity appears to be required. You can see from the latest ASX announcement that TD Securities have already bought close to the 2.2 million mark [ASX announcement 8th Jan 2025].
So, ‘stabilising the market’ can also be you covering your short position on market at below the IPO price.
If that sounds like the financial equivalent to the merchant bankers racing in the trots, it’s because it is (in more ways than one).

However, we are nearly at the point where all that ends, and it is just time to make money the old fashioned way: where you start selling it for more than you got it for. Which is more in my wheelhouse. Lake Street Capital — the last of the four investment banks behind the IPO — has now commenced coverage and set their price target at $20 USD [article here].
It looks like this horse can then finally be unbridled and start bolting.
Redemption…?

I refuse to pay for broker content. So instead I’m just wading through a sewer of AI generated garbage — and have probably submitted myself to about a decade of email spam — all in my vain attempts to dig under these paywalls when I should be sleeping.
I’m giving up now, but just FYI the consistencies in the rumours are broker coverage commencing, and price targets (in US dollars) as follows:
Of course, it could all just be in AI BS dollars and I’ve just finally broken my internet with my Anteris monomania. I’ll check the NY closing price when I wake up and see if there was anything in it.

State of Play
A timely (and surprisingly readable) scientific journal article about TAVR in the US. The review includes details on currently FDA approved TAVR devices as well as up-and-coming investigational devices. There is a small, but positive, write-up of Anteris’ DurAVR device. The article is open access and the PDF can be located here.

Director Ownership
I think there has been some fair criticism in the past (some slung by yours truly on this platform if I’m honest) about the lack of direct ownership of actual shares (not options) by Anteris insiders. There have been some fair responses to it over the years also — such as, the apparent inappropriateness of on-market buys when the company was in active negotiations for sale / partnerships etc etc (insert palatable excuse here). The unspoken subtext, of course, is that — for much of Anteris’ history — the company has just not been a sensible place for sensible people to put their real money. I, for one, am just happy that Anteris has sensible people running it. Australians can be relaxed like that. I can’t see the Americans copping it but. Expect to see these options looking very different by December 2025: ASX Announcement 20th Dec 2024 - Initial Director’s Interest Notice.
Broker Report October 2022
This is the link to a broker report from Evolution Capital from a couple of years ago just before a capital raising. Some of it is dated, but it still gives some current context to the US TAVR industry.
If anyone is researching, just be aware that it is taking a while for metrics to be updated post US IPO, but the share count is now closer to about 38 million shares with around 5 to 6 million options still outstanding. The current market cap is $207 million with USD and Anteris now has about $75 million USD cash on hand for the pivotal trial preparation and commencement.
I’m looking forward to seeing this type of coverage from US professionals in the coming months. Some of the options are held by US institutions and are in the money, or will be soon, and I also suspect sell-side brokers/investment banks/funds etc have been accumulating and are ready to launch their shares onto the larger US market. I think Anteris’ capital position is very strong going forward (finally!) and future raises are going to be a higher prices with much less dilution. Anteris has ripped off the capitalisation bandaid and is the better for it.
*** Edit 19/12/2024 — I’m serving up this ol’ stale straw from about Jan 2022 again because: a) ASX investors can still relate to crazy residential property prices; and b) It’s about Anteris’ potential as an acquisition target, which the US IPO only makes easier now. Just a note Edwards Lifesciences valuation has shrunk (underperforming growth expectations). This straw is also silent on acquisition by the likes of Boston Scientifc or Johnson & Johnson — or other well-heeled non-incumbents with cash —but I think I’ve written elsewhere about that ***
*** Edit 11/09/2023 — I’m rebooting this one from a couple of years ago because I think this auction is starting in earnest before the end of this year ***
Going once…
“…one of the biggest competitors in this space has a market cap of 66 billion US dollars. 80% of their business is made up of their TAVR device. And we’ve just beaten that device clinically…” - Anteris CEO Wayne Paterson, January 2022
I want to give some context to my recent valuation. Although it sits at a multiple of 5 above the current share price, I believe it is conservative by some measures.
Try to think of this like a crowded saturday morning auction in Australia’s outrageous residential property market. The reason for this is that ultimately it probably doesn’t matter what the average man in the street thinks Anteris is worth. Just like any Sydney auction there are really only a few serious potential buyers when the bidding starts.
The company CEO Wayne Peterson is talking about above is Edwards Lifesciences Corp. At a 68 billion US dollar market cap it accounts for about half of the TAVR market. It’s a lead worthwhile defending.
Next up - owning about one third of the TAVR market - is Medtronic with its 140 billion US dollar market cap. They will need an edge to increase their market share, and it makes sense for them to spend money obtaining that edge.
[Please note the linked article here is from just over a year ago. Precise and current data on current TAVR market share costs money. https://www.medtechdive.com/news/Edwards-Medtronic-duopoly-in-growing-US-TAVR-market/591710/ ]
So Anteris getting past its reserve price is probably going to involve a bidding war between at least the two key players above.
But unlike a $3 million terraced house in Surry Hills, you can stake your claim to a small part of it.


Boston Scientific (NYSE: BSX)
Boston Scientific is a growing US med-tech company that has a market cap of $129 Billion USD. They do occupy a much more diversified space than Anteris: whilst Anteris is presently exclusively focussed on Aortic Valve Replacement (AVR), BSX’s products include pacemakers, defibrillators, catheters and many other small and expensive devices that surgeons put into your heart and blood vessels.
However, Boston’s Scientific’s foray into the US TAVR space has been underwhelming (link to October 2024 article). While Anteris CEO Wayne Paterson — and the Anteris Medical Advisory Board — have been touting Anteris’ clinical superiority to existing FDA approved TAVR products such as those of Edwards and Medtronic (BSX has European approval only), it is also clear that he thinks he has the measure of any other potential disruptors. Paterson often repeats that Anteris’ product development has been “surgeon led”.
You may also notice that the Dr Michael Reardon quoted in the above article is on the Anteris Medical Advisory Board (this slide is from the recent Anteris IPO roadshow):

Whoa. They do know that a lot of us still have to work and aren’t at the ‘make money while you sleep’ phase yet? Will post later anything new in it…
*** Edit 14/12/2024 — I’m rebooting this (only partly) tongue-in-cheek insight from last year into the subtleties of the interplay between the three entities of surgeons, surgical centres, and med-tech companies to show any newcomers how dynamic these network effects can be in the Aortic Valve Replacement (AVR) industry ***
OK, so it is hard to make this post without sounding like I am making it from a windowless room with the walls papered in newspaper clippings and bits of red string going every which way as I pace the floors wearing a colander on my head fastened to my chin with alfoil. And, you know, maybe I am, but here it goes.
This is a slide from Anteris’ AGM in May 2023. You’ll notice one of the partners they list is Montefiore:

Montefiore have announced that three patients have received DurAVR (at least two of which they have performed themselves) during the EFS. They have been happy to brandish Anteris’ name and our beautiful packaging across social media:

Dr Waggoner, who posted about the two Arizona cases today, has a commercial association with PIMA:

The photo accompanying his tweet depicts the DurAVR with the packaging removed or has been digitally altered to blank out Anteris’ logo:

PIMA’s website lists their partners, which includes one very significant TAVR company:

Armchairs sleuths will have already noticed PIMA is not listed as one of the many partners in Anteris’ slide above.
These sort of subtleties may appear trivial, but I think they are indicative of some fairly big power shifts in the alignments of some key movers and shakers in the TAVR industry.
I mean, that has to be it, right?!!


Where my mind just can’t seem to help running to each time I read Anteris’ brand new name…
‘Anteris Technologies Global Corporation’. I mean, it just sounds so much like it could be a subsidiary of ‘Prestige Worldwide Productions’. For those either craving context — or just wanting to take a couple of minutes to revisit a classic — here is a brief presentation (NSFW and bad language warning).
Hopefully Anteris can land this thing better.
Official confirmation that Anteris IPO priced at $6 USD [ASX Announcement].
Anteris has made an ASX announcement confirming the timetable for the NASDAQ implementation scheme [ASX announcement]. One minor frustration — with an otherwise overwhelmingly positive scheme — is that the implementation date of the 16th of December 2024 represents an Australian Capital Gains Tax event. As a holder for the better part of 10 years resetting the clock on that is a strange feeling, for something that still feels like the same investment psychologically — I certainly don’t feel like I’ve sold even a single share. It would be a complete non-issue if I didn’t feel like the prospect of a US takeover in the next 12 months was a foreseeable one, which would effectively double any CGT liability. But, that’s a bridge for holders to cross if and when that occurs.
Possible good omen for current NASDAQ IPO sentiment…
Here’s hoping for six more weeks of winter for US rationality in asset pricing. The NASDAQ IPO for a company called ‘Service Titan’ closed Thurs 12/12/2024 at 42% above its IPO opening price of that morning. If Anteris can pull a similar groundhog out of the top hat tomorrow (our time) that would be quite the coup. Now that’s a day I wouldn’t mind seeing repeated.

Anteris IPO Roadshow
I had a brief look and it seems to be a pretty slick presentation that Anteris has put together [link to roadshow presentation], which is CEO Wayne Paterson’s speciality. Worth a look for anyone wanting to understand the current value proposition. I’m anticipating a successful IPO, and there may still be weeks or months of opportunity for upside if anyone was to purchase the CDIs on the ASX — and they would be purchasing a substantially de-risked company from where it was even a year ago.

IPO Roadshow commences
[Morningstar article link here]
No details on pricing in this story, but a dilution of 14.8 million shares — for a previously stated raise target of $75 million USD — would put the IPO price at $5 USD per share. At $7.75 AUD that’s a discount of over 20% from last ASX close. Could be worse, and also means institutional investors are likely to take it up in its entirety (the successful IPO being a condition precedent to the NASDAQ scheme). Hopefully Anteris grows from here post-IPO, and less uncertainty re capital raising and cash-burn should help with that. The slashing need to stop here but.

Goodspeed Anteris, my little wealth generation engine that could and still can. Go forth and make some bank. Some American Bank. Bring on the green days. I guess this is why Peter Lynch said to never fall in love with a stock…it just hurts so much when they leave :(
Court approves NASDAQ scheme
Anteris has announced that the Queensland Supreme Court has ratified yesterday’s EGM approval for Anteris to be re-domiciled in the United Startes. NASDAQ IPO now imminent. A sufficient uptake of this in the next week or two will see Anteris return to trading on ASX as a 1:1 CDI [ASX announcement].
Anteris NASDAQ scheme approved at EGM
EGM today (Tuesday 3rd Dec 2024) has approved the share and option re-domicilisation scheme. Awaiting Queensland Supreme Court approval tomorrow (Wednesday 4th Dec 2024). Last day of trading is Thus 5th Dec 2024 [ASX announcement].

Commemorative US IPO artwork commissioned by the Pablo E. Bruh Retirement Foundation - November 2024
The US IPO appears likely to go ahead [latest ASX announcement] after the EGM on Tues 3rd Dec 2024 paves the way.
Anteris will still have an ASX AVR tracker but will be a CDI, not a share. I’m hoping Strawman can still track or some exception can be made if it is not costly. @Strawman, I hereby volunteer for the task of manual data entry of daily AVR prices of same. I’m also hereby adverting on this forum for my first personal valet with a diverse skill-set, including data-entry skills.
Let it rain!


Coming to America
It has been a long time coming, and it now looks like Anteris’ American story is going to be one of some quite humble beginnings indeed – no matter how the ending unfolds.
The plans for Anteris’ re-domiciliation have been released and – if the board’s plan is supported at the EGM in October 2024 – Anteris will start 2025 as a US public company listed on the NASDAQ.
There have been a series of ASX announcements:
Essentially, the scheme proposes that current Australian shareholders and options holders will continue to hold their equitable interest by means of an ASX-listed CDI (NB hopefully one which Strawman will track so I can continue my Anteris investment journey on this forum). The board’s argument – and in my opinion it is far from a facetious one – is that easy access to uncomplicated US capital is needed for Anteris to realize its potential. It will start with a large and diluting IPO.

It's dilution that I argue is baked into my unchanged valuation. That’s not because my valuation is impressive or sophisticated, but rather because it is simple. Through its many (and admittedly chameleon-like) iterations there has been a consistent theme. My starting point, in recent years, has always been that a company with Anteris’ product approved for US domestic TAVR use is a USD multi-billion dollar company – and this scheme would take Anteris a step closer to being that company. Also, especially with the unfortunate share price retrace of recent months, it looks like the needed injection of US capital is going to be pumped into a company that will be landing on US shores worth approximately USD 125 million or less.
Fortunately for any US promoter of the IPO the narrative will be a simple one: that this is an Australian minnow offering a multi-bagger opportunity in the event its imminent FDA trial delivers. The need, and intended use, for the capital will be easy for any US investor to understand. An uncomplicated and far from ground-breaking concept – no matter how unique the technology promises to be.
Understandably, there is no patience left in Australian investors for this latest instalment in a tired saga — and what is to be the company’s 4th ticker code change in about a decade, with about as many different business models pitched along the way. If I’d followed less closely I’d been in the same boat as the average ASX investor when thinking about this company. However, whether you are a bull or bear it’s hard to argue that this is not an inflection point. One where just holding is not really a sensible option. You should be getting out or getting in, depending on what you think this is. And it turned out that I wasn’t selling.
Which of course has left me buying. I’ve made some otherwise uncomfortable capital allocation decisions in recent weeks to take advantage of what I’m convinced is the best valuation proposition Anteris has presented in recent years – increasing my exposure some 25% at prices almost half those of Anteris’ most recent capital raises. I’ve been selling actual winners to make this happen. And I will now watch the price continue to drop as I’m cash-strapped on the sidlelines. I will probably watch, with my head shaking, as NASDAQ Anteris IPOs at prices less than $10 AUD. I will then watch as the hype dies and the price continues to drop post-IPO, shuddering with the additional volatility imposed by it all being in US dollars now. Then I will just become disillusioned and stop watching for a while. Possibly for a long while.
That’s because I’m ultimately doing it for that moment in the future when DurAVR is one of only two or three sensible options for any interventional cardiologist in a developed nation when they are operating on a patient requiring a TAVR. There’s obviously a non-zero chance I’m wrong, but I really don’t think I am. I think I am calling this risk in the right way. I’m just backing my view on this, and I can’t back up the truck any further. Maybe it’s wise, or maybe I don’t really understand the road rules here. Time will tell.


Quickest Cap Raise Yet…
Anteris is finally keeping it simple [ASX announcement]. $23 million raised — pretty much at market value — by dilution of 1 million shares to an existing long-term substantial holder. Nil options. Back trading and looking ahead to the pivotal trial.
A couple of videos from the PCR London Valves conference:
https://youtu.be/kh4WCdqF894?si=O5qrgrPjgGo_8T93


Good summaries of Anteris’ value proposition for the industry, but this is also sort of the equivalent of cardiac surgeons “talking their book”. Still looking forward to Edwards, Medtronic, or an outside third party (like Johnson & Johnson) talking with their chequebook.


Good Vibrations
It is rare (or, rather, unheard of) for a broker report to come out for Anteris without the company first announcing it or having quite obviously commissioned it. But apparently CLSA have commenced coverage with a price target of $28:

I’m not a member so I can’t read it (and I think they are wrong by a factor of 3-4 anyway). But this has a promising buy-side feel to it. I’m hoping this is the start of a much wider market rerate and a bit of a Santa Rally for AVR.

Getting this Bull to Market
Another concise summary of the bull case by Anteris CEO Wayne Paterson [link to interview here]. With the usual disclaimers for this mob.
** Edit 27/10/2023 — I’m rebooting this one as I think a pretty obscure arbitrage opportunity of a 20% upside exists at present. I remain overweight in AVR, but am still giving this one some thought for increasing my IRL portfolio. Cap raise at $20 (with nil options) has just been completed with the same institutional investors holding the $24 and $29 unlisted options. I don’t expect those $20 shares to be sold. I know Anteris is not for everyone but it may presently have a broader short-term appeal given success of the EFS.

Prepping for the Clean Sweep
Anteris’ director options are getting some extra attention this year in the form of an extraordinary general meeting announced yesterday [ASX announcement] and I have a hunchpothesis as to why.
For these next few quarters — more than any previous ones — the stakes for Anteris to have access to quick, minimally dilutive, non-outsider capital are at their highest. This is necessary to: 1) ensure there is no interruption to, or distractions from, the EFS; and 2) bolster the (already strong) defences against a hostile takeover at this juncture. My hunch is that CEO Wayne Paterson wants full control of the narrative during takeover negotiations and is prepared to pay $24 a share from his own wealth if necessary.
I think he wants his feet planted on firm ground when he is negotiating the sale of the company which he is on record as saying is worth over 5 times my valuation. You can’t do that if your company is desperate. You can’t do that if someone else is paying sub $20 per share on market while you are banging your fist on the mahogany boardroom table boldly declaring $200 is your walkway.
Options aren’t new to Anteris, nor is the absence of some walking-around money beyond a quarter or two. In the past that’s never, of itself, been enough incentive to commit really significant executive bacon to this ham sandwich on a regular basis. But we are at the pointy end now.
The fact that this is happening when the share price is around $20 presents an opportunity for the traders among us. If I wasn’t already fully invested (both in Strawman and IRL) the quick 20% upside would be a hard bet for me to walk away from. But my eye is on the long-term bullseye — on what I am increasingly confident is a very conservative 4 bagger from here. My valuation remains unchanged.

Raising the bar
Anteris has completed their most recent capital raise [ASX announcement]. Although it was at a slightly lower price than the previous ($20 vs $24) the trend I am happy to see being repeated is how seamless it is becoming. The pace of spend and dilution remains broadly consistent with my valuation. These funds are ear-marked for next year’s pivotal trial following the apparent success of the EFS. I can see the price floating up to its next support at $24 to reflect outstanding unlisted options in the coming months. This will in turn provide further financial stability for the company into next year.

Alternatives
The first of the EFS data for Anteris has now been announced at the TCT conference in San Francisco [ASX announcement]. Anteris claims the results are both very positive and paradigm-shifting. I lack the expertise to tell, yet I’m confident they are correct in both assertions.
A few hours earlier, Anteris had tweeted this about Dr Meduri’s update [powerpoint slides here] for the separate First-In-Human data:

In reading it I had an involuntary flashback to a now seemingly ancient January 2017 controversy:

This was of course the saga about whose Presidential inauguration crowd numbers were larger: Obama’s or Trumps’s. It was this press conference by then Whitehouse Press Secretary Sean Spicer that led to the Trump Administration’s now infamous coining of the phrase ‘Alternative Facts’. When looking back on what came since then it is now a moment that seems both trivial and utterly prescient of the shift in paradigm that had occurred — the world was different now, and attempting to measure it by previous standards wasn’t going to make it more predictable.
In zooming into Anteris’ X photos to try and verify how crowded the room was it dawned on me that I was looking for the wrong thing. Some numbers matter and some numbers don’t. Arguably, presidential inauguration crowd numbers have never mattered — certainly not when compared to those same crowds at polling day.
Anteris now claims DurAVR has numbers that beat Sapien (Edwards) and Evolut (Medtronic) clinically. Both in the FIH:

And the EFS:

Time will tell if this is, in fact, true.
Anteris has announced a trading halt for a capital raise [ASX announcement Mon 23/10/2023].
The AFR reports [link to article] a $40 million raise at $20 a share taken up by institutional investors including, apparently, a new US strategic investor. So 2 million shares of dilution with minimal discount.
It appears timed for Anteris’ much-anticipated release of some EFS data at this week’s TCT conference in San Fancisco [Anteris data landing page]. It is looking like they will have some good exposure there.

Hopefully, they pull the rabbit out of the hat with this one — the magic ingredient being some properly orchestrated United States hype for a change. I remain convinced that Anteris has worn out its good graces on the ASX — no matter how good the scientific data is ASX investors won’t look past the capital raise this week. Anteris now needs some serious types to really throw around some American dollars in their general direction. Maybe this week is finally the beginning of the money fight.


Tweet from the company and CEO indicative of the EFS progressing well and probably over halfway. Confirmation now that at least 7 of the 15 patients in 3 of the 7 centres are completed to the point they are happy to post about it on social media. Which also means the bulk of the 30 day data should be available to be presented at TCT conference in San Franciso in about a month.
Also, less than 48 hours now before we can expect some announcement (probably on ASX too) about the Cantor Fitzgerald Annual Global Healthcare Conference in New York, which — due to its late addition to Anteris’ calendar — I still suspect is about Valve-in-Valve (in Canada’s Special Access Program) rather than our ongoing EFS in the United States.

Anteris has announced some data presentation to be made in New York, a month ahead of the TCT conference in San Francisco [ASX announcement]. Announcement still has the 30 day EFS day scheduled for Q4, so I think this New York one will be 30 day data for the two valve-in-valve patients in Canada.

A Time for Some Extra Perspective
As a young schoolboy in Australia’s bicentennial year of 1988 I have some hazy recollections of being introduced to a narrative. It was the bicentennial of the arrival of the First Fleet, but I also remember ‘learning’ that Captain Cook ‘discovered’ Australia and had a vague notion that this had occurred a few years before. He did of course, but in the same way that I ‘discovered’ compound interest, cloud storage, or Krispy Kreme donuts — I have found such experiences have enriched my life, but they were personal discoveries from which I can make no pretence of having been the first person to do so.
So too was Australia very much a personal discovery for the Yorkshireman — in that First Nations people had beaten him to the punch by some 65,000 years. Later of course there were others including Melanesian peoples, Austronesian peoples, and the Dutch, who had also beaten Cook variously by many millennia to centuries.
Truthfully, what I really liked about it all was a catchy tune featuring Botany Bay that you sung loudly in the same accent you’d use if you were auditioning for the lead role in My Fair Lady. I really loved that song.
These are silly and slightly cringey recollections. Thankfully Australia and the world moved on and the concept of our identity is now more evolved and inclusive. In finding the above picture on eBay I see that my Dad’s prophecy that the medallion every single Australian student got given “might be worth a lot of money one day” has not yet come to pass. If you missed out but have $14 plus p&h, then miss out no more.
However, looking back, it is a reminder that:
Before my interest in Anteris I know one strong bias or intellectual shorthand I was using was equating the United States FDA’s approval with the words “proven” or “safe”. Conversely, anything without out FDA approval was “experimental” or “unproven” and, “unsafe” or, at least, of “unknown safety”.
It’s a bit beside the point that I’d like to make here that the definitions of these words, and their cultural contexts, can differ. I remember seeing an interview on TV with a person suggesting that if aspirin was invented today, rather than in 1853, it probably wouldn’t get FDA approval for doctors to dispense — let alone be sold in supermarkets. It’s an interesting thought experiment to ask the same of ethanol. Or refined sugar. What would the outcome be if such things were inventions or discoveries of 2023 looking to get FDA approval? It is also true that not everyone trusts governments in the first place.
However, I’m very middle-of-the-road on these things. I genuinely believe that the food and drug regulatory bodies of wealthy, stable, modern democracies value both the scientific process and the safety of their citizens. They just don’t have a monopoly on these values.
At present, at least 27 human beings have had their lives and health significantly improved by Anteris’ DurAVR. For many it has been a functional cure for their aortic stenosis, and for some it has saved them from fairly imminent death. All outcomes which have been achieved without the FDA’s approval for commercial sale.
The breakdowns and dates for these 27 individuals is as follows:
If there is a spectrum of experimentation — where Elon is blowing up every second rocket in the early days of SpaceX on one end — then Anteris is much more at the other end. The one which involves ticking boxes and cutting red tape. This isn’t some reckless or fanciful fishing expedition.

Captain James Cook was a significant figure whose achievements included being the first to document and map a voyage on the eastern coast of Australia. He has historical importance for Australia and the world, but he is not alone in having that status.
Cook also had a fairly good idea of what he was looking for. He was exploring a finite space and had something of a sense of the parameters. He knew he was going to be threading the needle at some point east of New Holland and west of New Zealand. There was a very limited range of outcomes. So too with Anteris. Most of the discoveries have already occurred now. This is much more about getting it all down on paper.

Hollandia Nova detecta, 1644 — by French cartographer Melchisédech Thévenot
*** Edit 11/09/2023 — I’m rebooting this one (from mid Feb 2023) to show that things have, in fact, gone largely better than planned. There was a 3rd FIH cohort in Georgia (extra 8 patients) and valve-in-valve operations in Canada (extra 2 patients). Some slightly slower progress on 30 day data for the EFS, but at least some of that data to still be announced at TCT conference in San Francisco in late October 2023. So, so far, it has only been exciting in the right ways. Some context for newcomers, the business end of Anteris is in Minneapolis, Minnesota USA, and they use the US financial year for their quarters***
Best laid plans…

Screenwriters and novelists know that if you tell the audience or reader the plan beforehand it means either: a) it ain’t going to happen that way; or b) you are writing a boring show or book [1]. Oh, how I long for Anteris to be boring!
Anteris has updated the market of its TAVR roadmap for the next 12 months [ASX announcement].
Incidentally, the announcement also confirmed that the non-binding agreement with US-based Yorkville would not be bound — Anteris appears to be satisfied with the sufficiency of the capital raise brokered by Evolution Capital last week.
Further, Anteris confirmed CEO Wayne Paterson’s purchase (pending shareholder approval) of shares and options as part of the capital raise [ASX announcement].
What I like most about the planned TAVR milestones is the apparent interfacing of both sets of data in the ongoing FDA process. That is, the utilisation of the first-in-human data (from the 13 patients implanted in Georgia) as well as the imminent EFS, apparently working in tandem. One thing CEO Wayne Paterson is consistent about in his presentations and addresses is that this is med-tech, not pharma. Trials are shorter, sample sizes are smaller.
My own thoughts on Anteris’ prospects of hitting these milestones? I’m very high conviction on this, whether it be this roadmap or just something close enough to justify my valuation. One of the tropes around plans is that ‘they don’t survive first contact with the enemy ‘ or Mike Tyson’s blunter “Everybody has plans until they get hit for the first time”. It sounds clever and wise largely because it is negative and cynical. In exploring this one I came across quotes from President Eisenhower and Winston Churchill which I like better [2]. Churchill’s more nuanced thinking I like in particular:

In this respect, Anteris is in very capable hands with CEO Wayne Paterson. He’s had a consistent vision of a path for Anteris for a long time. It’s never been without obstacles. And yet he has still steered Anteris to this juncture. Flawless plan or not, I think the chances are high that he executes regardless.
Of course, my favourite quote on preparedness from any military man or master tactician is that of Private Baldrick: “I have a cunning plan…”


No official announcement from Anteris yet, but Chief Medical Officer Dr Chris Meduri has tweeted (‘Xeded’ now I guess?) about a further two successful patients in the EFS. That is at least for 4 US patients so far now (2 in New York, 2 in Arizona) with DurAVR implanted. I’m unsure of the delay between the operations and these type of postings, but I am guessing it would have to be after at least 24 hours.

The Current Situation
I have been thinking about the biggest risks for Anteris in the coming months, before the release of its data from the FDA Early Feasibility Study (EFS) by the end of October. I tend to agree with Anteris CEO Wayne Paterson that the clinical risk is as near to nil as you can get. I think the risk for Anteris is not clinical failure. The greatest risk to Anteris is the appearance of clinical failure.
The nature of this type of medical device is that sample sizes at this early stage are small. Also, human beings, by their nature, are frail. If a patient dies or suffers a stroke following an ‘experimental’ surgery — in Anteris’ case, their implantation with DurAVR — it does not necessarily follow that DuAVR was the cause of that tragic event. Correlation is not causation. But such an outcome could still be a short-term disaster for Anteris, even if subsequent analysis, investigation, and further testing proved out Anteris’ clinical superiority and exonerated DurAVR’s involvement in that negative outcome.
This is because our human minds are frail too. We are governed by many more motivations than just rational thought and the spirit of unbiased scientific inquiry.
If this weren’t the case then the path of Alternating Current’s natural dominance over Direct Current would have been a smoother one. Instead we had the rather fascinating ‘War of the Currents’ of the late 1800s [1]. At their most bizarre this involved the Edison-backed Professor Harold Brown publicly electrocuting animals to demonstrate the dangers of AC to the assembled crowds [2].
Now I am not suggesting that the incumbent TAVR players (Edwards and Medtronic) are about to — or even need to — launch a damaging smear campaign against Anteris. They are, however, deeply incentivised to foster scepticism of the proposed merit of DurAVR. They are also well-positioned to capitalise on any EFS set-backs which could befall Anteris, especially if such set-backs lower Anteris’ price.
Money is a powerful driving force behind any narrative. Of course, as an investor, I’m reliant on the other side of that same coin to realise my valuation of Anteris. Capitalism is its own beast — and one that is motivated by neither altruism or science. I know my audience on this forum, and that I’m preaching to the choir when I say although I believe in the science of Anteris — and I’m happy about the good I think it will do — that’s not why I am invested in it. I am invested in it to become wealthy.
If credit were to always fall where it was due Nikola Tesla would have perhaps led a wealthier and more financially secure life [3]. However, that is not the nature of things. The risk is that sometimes having the best product or idea is not enough. It’s a form of execution risk. You can have all the treasures of a new world in your possession, but you still have to ship them home safely — and there is always a degree of good luck involved in achieving that.


No Time to Die
Alan Kohler has done another great interview with Anteris CEO Wayne Paterson in a follow-up to his April 2022 conversation which I recently reposted about here. It’s all good news. Again, Paterson performs well against a seasoned and objective interviewer.
However, I have to share this disquieting sensation I have. I’ll preface it by saying I think it is unimportant and influenced by the following factors which I will issue as disclaimers here:
But Paterson, to me, is sounding like a Bond villain now. He has that unflappable confidence, engaging in all this exposition about this plan that will enrich him in a manner involving the repeated use of the word ‘billions’. We are so close to the end of this piece now. I’m just hoping there is no one lurking around the corner about to disrupt us by pulling the rug from under our feet. Why do I need to keep reminding myself that we’re the good guys?
For those already over the paywall, or interested in the 15 day free trial, here is the link:
** Edit 15/08/2023: I’m rebooting this one from circa April 2022 because it’s still relevant to my valuation and gives insight into Anteris’ current leadership. This is CEO Wayne Paterson saying 1 billion USD is not enough for this company. He’s doubled down on it since, several times. He hasn’t been cheap, but Paterson is now in his element. This is the guy you want selling your house — he is not giving it away cheaply. He’s not in a rush.
The World is Not Enough…
Great interview of Anteris CEO Wayne Paterson conducted by Alan Kohler of ABC business reporting fame [link to article here: https://bddy.me/3EAToB5. You’ll have to sign up for free trial if not a member already, but probably worth it if you are new to Anteris and thinking about pulling the trigger on a buy]. Bullish interviews are nothing new for Paterson, but for it to occur in such an objective and adversarial setting is noteworthy. Paterson doesn’t miss a beat but when he is pulled up more than once on some of his more exciting comments. He is a smooth operator.
My favourite part of the whole exchange is as follows:
Paterson: If someone came and offered 500, obviously that’s not enough; a billion, for me, is not enough. Because the big catalysts are not far away, it’s not like ten years -
Kohler: So hang on. What did you just say? What did you just say, that a billion is not enough?
Paterson: A billion is not enough, for sure. I mean, if you’re at, we’ve got a 5 billion dollar product - that’s the thing, Alan, to keep in mind…
For context that was the CEO of Anteris putting on the public record that my $88 valuation is lowball and he dismisses it.
I won’t change my valuation but. A billion is probably enough for me, but I’m a simple man with humble needs. I’ll be disappointed in myself if the day ever comes when I look a 10 bagger in the mouth.

A Second Front
Anteris has announced the results of a second Canadian valve-in-valve (VIV) patient [ASX announcement]. The results are good, but the argument could be made that this is not really ‘price sensitive’ for the ASX. That Anteris is in this space also is well-documented, and I think announcements like these barely register a blip on the ASX radar.
I did note CEO Wayne Paterson’s comment at the bottom. It’s a reference to Abbott (the 3rd biggest AVR player, after Edwards and Medtronic) withdrawing their Trifecta valve from use [article here]. So I think this announcement is partly about getting another VIV announcement out there post Abbott’s withdrawal — about selling the narrative about Anteris’ place with the big boys. VIV is very much secondary to Anteris’ whole offering, but it is more front-of-mind to the incumbents. It allows Edwards and Medtronic to focus on what Anteris is (and its value as an acquisition) and less on what their own products are not. Once the ADR starts trading [OTC ticker ANTTY] it will be interesting to see if these sort of things move the dial, whether perhaps it is more price sensitive in the US market.
Anteris has announced the establishment of a Deutsche Bank sponsored American Depository Receipt (ADR) program [ASX announcement]. Still over the counter, so no NASDAQ listing in the immediate future. Hopefully will smooth out access for any US retail investors who have an interest. Could pave the way for future diversity of capital for Anteris to tap into.

This is from Anteris’ Twitter page. It depicts medical staff at New York’s Montefiore Medical Centre holding Anteris’ patented single-use ComASUR delivery system for its patented DurAVR valves which they have now implanted in the first US patients. It’s a big deal. And the photo gives some sense as to the scale, cost, and potential, of Anteris’ undertaking. This is where the capital raise money goes. It seems I was early on my call of a re-rate, but it’s going to happen. I’m very high conviction on this.

First runs on the board for Team America
Of course Georgian humans work in the same way as Americans, but FDA approval is the name of this game. Anteris has announced it has now implanted the first patients in its US Early Feasibility Study (EFS) [ASX announcement].
Details of the seven centres were also announced, all seem like places I’d be feel comfortable being a patient at. The key data point for this is 30 days — and that is to be announced for all patients at the Transcatheter Cardiovascular Therapeutics (TCT) conference in San Francisco between 23rd and 26th of October 2023 [not sure if I will go this year, the show-bags are getting more expensive and the kids always throw a tantrum about the walking].
We’re a weird mob where the US is concerned sometimes. I think this could be the start of a shift in ASX sentiment for Anteris. ‘Merica!

CEO Wayne Paterson describes the current valve-in-valve opportunity for Anteris. Also pushes the ETA for the EFS slightly a month or two further away than previous statements (that’s no biggie but, it’s a long game):

Good news from Canada, first successful valve-in-valve patient. Health Canada accepting that there was no safe alternative for the patient. Big development for TAVR.

Some further details — which were also covered in Monday’s AGM — announced today [ASX Announcement] about the additional 8 patients implanted ahead of the EFS. These are the most recent patients implanted in Tbilisi, Georgia.
CEO Wayne Paterson has confirmed that the read-out for the EFS is planned to be by end of September. By then that will be an additional 15 human patients, implanted at facilities in the United States. First of these patients are to be implanted by end of June 2023.
Another key TAVR milestone for Anteris’ journey — which will hopefully ultimately terminate with FDA approval for commercial use after next year’s pivotal study.
CEO Wayne Paterson made an impressive presentation at the Anteris AGM this morning despite battling jet lag.
It is hard not to share his enthusiasm. I have come to share his analysis on two of the components which represent the value proposition still promised by Anteris at this late stage:
I’m also increasingly confident in the prospect of Anteris reaching commerciality alone. Which Paterson ranks as the most valuable prospect for shareholders (with partnership 2nd and acquisition/takeover 3rd). Nevertheless, I will not be surprised if this was the penultimate — or even last — AGM for Anteris.

One year data for First-In-Human (FIH) announced [ASX announcement]. The data is good. Things tracking well.
Possible New Adventure Spin-Off Series

OMG! Anteris has announced a new venture [ASX announcement] today involving some sort of new dirty-dozen-league-of-extraordinary-people to have all sorts of crazy new adventures. Much like the plot to the above movie (which I have never seen) I have no idea yet what this means. But I always liked Sean Connery and I, to some extent, trust his and Wayne Paterson’s judgment implicitly, and I’m pretty certain this can only be good news.
I will research (the new thingy, probs not the film) and if it is indeed worthy of it I’m sure there will be more posts in future.
Patent Pended

This was never unregistered garage chiropractory, but it’s still good to see Anteris continuing to de-risk with the ASX announcement today that DurAVR has been granted a 20 year patent.
Less important than FDA approval, but dispels any doubt that mere imitation is still an option for the bigger players.

My Business Pitch to Businessmen…

It’s kind of outside my wheelhouse it seems, but I know there are people out there on the internet — and this platform in particular — who like the companies they invest in to have all the fancy bells and whistles like revenue.
The closer Anteris gets to the pointy end if its potential — and the more ancient the prophecy of a buy-out becomes — the threat of Anteris becoming one such business is becoming more real.
The danger may at first seem like small bananas: 15 patients for an Early Feasibility Study here; 500 or so for a pivotal trial there. But, it’s the sales price of these units (circa US $25,000), and the high gross margin baked within them, that starts to move the dial on these metrics.
At this point I’ll let CEO Wayne Paterson do the heavy lifting and explain it better than I can as he did so recently at the 2023 Nerds With Revenue (NWR) Healthcare Conference:
Key points in the video regarding future revenue are at:
Add to this gradual proposed TAVR market uptake the very real possibility of a more immediate potential of being the dominant ‘Valve-in-Valve’ supplier and you are a genuine contender. Such an eventuality would indeed, to use the business parlance, “make it rain” sooner. Which is a nice segue because, in conclusion, here is a circa 1997 Matt Damon wearing a suit and holding up some numbers making the case of his career. Thank you for listening.


I’ll leave it for the CEO Wayne Paterson to make the current bull case for Anteris:
Couple of key takeaways for me include apparent developments in valve-in-valve (replacing TAVRs with another TAVR in the same patient) as a source of revenue.
Another, the big one, is Paterson’s assessment of the TAM for TAVR actually being up to $30 billion USD. By this he means TAVR cannibalising more market share of Surgical Aortic Valve Replacement (SAVR) as TAVR becomes more of a valid, realistic and preferable option to younger patients. One of the key benefits of Anteris’ DurAVR is its ability the ability to allow surgeons to perform ‘commissural alignment’ (essentially correct lateral positional alignment) which no other TAVR does and can be one of the benefits of a SAVR. He could well be right about the correct size of the potential market. I’m leaving my valuation as is but and just calling it a 330% margin of safety.
Finally — as demonstrated by Anteris’ progressive capital raises of $8, $15, and $24 — there can be credit where it is due for Anteris’ recent and current capital management. I think the monkey of insolvency is finally off our backs.

Hedge Dimensions

So Hedge Funds have now joined the growing list of things that I have realised — as I age — that I simultaneously: know too little about to understand properly; and, accept that life is just far too short to dedicate much time to rectifying this.
L1 Capital is a Hedge Fund. They are sometimes Long. They are sometimes Short. Anteris has just published an announcement on some data that gives insight into L1 Capital’s AVR Volume [ASX announcement]. Now I think that means — while I rack my brain for some year 8 algebra and trigonometry — if I can just go about rooting this whole thing cubicly I could then work out the Height and Depth. Then, whatever else I had, I would have some more numbers. One thing I do know is that getting rich involves numbers, Mamma didn’t raise no fools.
Now, some parts of Investopedia have just informed me that Long/Short Funds may actually be different to Hedge Funds. Too late of course. I’ve already found a picture I like for this post and we won’t be changing that I’m afraid. All knowing that information would achieve is that it would make me feel slightly less clever. Which, let’s face it, is what always happens when we are out here Dunning-Krugering ourselves silly.
L1 Capital first arrived on the Anteris scene in October 2021 when we were still getting over some of our more desperate days, finance-wise. We were still a bit crazy back then. Personally, I think the fact they are still hanging around is kinda sweet. Many others didn’t. Sure, they might get some pretty sick unlisted options occasionally but at least part of their strategy appears to be one of long-term accumulation. They currently comprise about 10% of Anteris’ share register.
Both that August to October 2021 capital raise I’ve referred to above — and last week’s placement (February 2023) — were brokered by Evolution Capital. I expect there may be another analyst report soon, but here is the link to Evolution Capital’s latest research on Anteris (November 2022).
There’s never harm in just that little bit more research …

Putting something in its place

I have to preface this one with a disclaimer. I don’t love the ‘news’ agency I’m relying on to make my point in this post. Karl and I have our disagreements, but we are united on this issue. And frankly, if you’ve ever surrendered the moral high ground to either one of us you may well have a credibility problem.
But the only coverage of this story I can find is from a Daily Mail journalist who has clearly bunked off from his mandated stalking-a-B-grade-celebrity-enjoying-a-private-moment-at-a-beach duties and, in his unauthorised frolic, found himself instead reporting on a relatively minor NHS policy change:

The story provides a good illustration of the linchpin of my Anteris valuation: the TAM for TAVI / TAVR.
Aortic stenosis is moving in inverse proportion to newspaper subscriptions. And the options are increasing for patients to have any required surgery for this condition performed in a less invasive manner. Trans-catheter Aortic Valve Replacement / Intervention is an alternative to Surgical AVR or Surgical AVI (namely surgery where your whole chest wall is held open by clamps).
The TAM (just for TAVR/I) is commonly — as in the below extract from Anteris’ 2021 AGM report — referred to as a USD $10 billion market.

The numbers in the Daily Maily article show you why. 7000 NHS surgeries annually — increasing to up to 8500 on the back of this change — at £30,000 a pop [note it’s somewhat unclear to me if this is from England’s 56 million population or the total of UK’s 67 million]. It shows how a relatively small number of surgeries can cost £255 million per year — the bulk of which is providing revenue to two very large American companies. As you can also see above, the United States presently performs over 10 times as many surgeries annually.
Anteris wants its valves (DurAVR) used in some of those surgeries. It doesn’t need all. It doesn’t need half. It doesn’t even need to get to just 10% of that market by 2028 for Anteris to still be fantastic value right now with its market cap of just $307 million AUD.
Pit Stop Done

The smoothest capital raise I’ve seen Anteris do. Actually beautiful to watch and made all the more enjoyable because this time there was no immediate crisis to begin with.
Anteris is back trading after a cap raising of $35 million AUD in shares (close to 1.5 million new shares at $24.00) with provision for about another $58 million AUD in unlisted $29.00 options [First ASX announcement]. Very heartening for me is also seeing CEO himself putting over $100,000 of his personal cash at stake also.
It may sound cynical or counterintuitive, but I personally very much like seeing the involvement of sell-side brokers increased — especially with Evolution Capital [Second ASX announcement]. Or at least with Anteris, at this particular and crucial stage of our development. We need a launching pad to best exploit US deep-pockets. Ramping up our ASX share price performance ahead of this is, to me, is a no-brainer. It is the low-hanging fruit. We are, unashamedly so, an acquisition target. We want that. But we need lowball offers to die before they even get oxygen. It seems Anteris will pay a retainer of up to $240,000 for investor relations and other services over the next 12 months to Evolution Capital. Evolution are deeply incentivised for the share price to go well north of $29. At least until that point — and a healthy margin beyond — they are as committed as the pig is in our little ham sandwich. This could add hundreds of millions to our market cap. It may seem like a strange end in itself but this will make all the difference to CEO Wayne Paterson when he is sitting across the table — this year or next — from the med-tech giants in Minneapolis, and, eventually, when discussing Merger & Acquisition deals with lawyers in Delaware.
This is also to say nothing of the $50 million from the US fund (announced on Monday) which could still be in play.
And, icing on the cake, expanded FDA approval for the early feasibility study [Third ASX announcement]. Which appears to be happening very soon indeed.
I bought more in my overweight IRL portfolio today. First time in over 12 months. My valuation is unchanged (conviction higher of course) — but there are a lot of reasons to expect a short-term 25% upside from today’s prices.

Extra! Extra!
Or you could just get the goss direct from the AFR:
https://www.afr.com/street-talk/anteris-technologies-chases-24m-at-24-a-share-20230207-p5ciim
Believe me when I say that it hasn’t always been this simple with Anteris — and that this can only be a good thing.
An additional $24 million AUD via stockbroker Evolution Capital. Again, on terms that seem reasonable to me. Managing Director Stephen Silver is a long-term bull on Anteris.

To be, or not to be…
Anteris just being Anteris. Sometimes following this story means you have to get into the weeds a bit — like some of the heavier going parts of one of Shakespeare’s plays that you are studying in year 11 English. That soliloquy, archaic joke, or pivotal plot point that seems to take 45 minutes to explain as your teacher guides you through a storm (or tempest) of Elizabethan terms, beliefs, and cultural norms.
Read the recent announcements to get up to speed:
Or, if you prefer, here are the Pablo E. Bruh Cliff Notes:
On Monday 6th of Feb 2023 AVR announced it reckoned it had a deal to source $50 million AUD from a U.S. based mob called Yorkville. Yorkville — and their terms — seem reasonable. There would be some dilution and a discount for Yorkville’s trouble. The deal was still non-binding and dependant on Yorkville doing due diligence.
On Tuesday 7th of Feb 2023 AVR announced a further trading halt for a capital raise. It seems most likely this is to facilitate the execution or otherwise of the deal announced on Monday. Or it is something else — a completely different capital raise — which they will tell us about later, by Thursday 9th of Feb 2023.

Trading halt [ASX announcement]. Cap raise. Hopefully one of — or the actual — last. Would like if this was the long-promised dual-listing on NASDAQ. Think it will be more likely another cornerstone institutional investor at a 10-15% discount.
Will Christmas come early?
Abbott (NYSE ticker ABT - a USD $198 billion company) has now received FDA approval for its new TAVI device: the ‘Navitor’ [news article here]. It’s not a new 4WD. But of all the medtech companies in the TAVR space it is among the most diversified, so maybe cars could be next? It’s also currently in 3rd place.
I haven’t landed yet on how this affects Anteris. It appears to be an inferior product to DurAVR — but, critically, it has:
My gut response is that this is going to be a volatile —but ultimately very good — thing for Anteris.
I think Anteris may experience a short-term share price drop while the market digests this. But — in our pre-FDA-approval state — any success by Abbott is much worse news for Edwards and Medtronic.
Both these companies have a war-chest for acquisition and have just been provided further incentive to spend soon. It would be a good outcome if it drives them both closer to an open bidding war for Anteris. It would be a fantastic outcome if it caused them to both temporarily lose their corporate minds and for each to make a scrambled grab for us in a most undignified fashion.

If you build it…
More good results announced yesterday — 12 months of First-in-Human data [ASX announcement].
Me. Just waiting. With this same gormless look on my face. Hoping for the windfall that gives me the freedom to make similarly bad choices with my career.
Holy Grail
Anteris has announced it now has FDA approval for an early feasibility study [ASX announcement].

Refreshing News
Not likely to be as dial-moving as an FDA announcement or takeover offer, but good news nevertheless [ASX announcement] about Anteris’ claim to product superiority. Hopefully generates further US interest.

Australian interventional cardiologists touring the Western Australian facility [ASX announcement]. Sounds like part of the early feasibility study will be using Australian facilities.
Oh…My…God. They have managed to lose $22.1 million in 6 months — not a year — 6 months [ASX announcement]. This is bad even for them, and I’m pretty sure it is a record in my 6 years or so of ownership. Pretty concerned. I will need to rethink my valuation. Best case would appear to be more cap raises and dilution, unless takeover is imminent, as in tomorrow.

A slight hangover from a previous funding package (from circa January 2021) could be impacting the current Anteris share price and may continue to do so for some weeks yet.
2.7 million in convertible notes are due to mature on the 12th of August 2022 [latest ASX notice re outstanding securities]. At current prices the dilution involved will only be about 100,000 shares — less than 1% of the 15 million or so shares on issue. There is incentive for the share price to remain low in the lead up to this with the exercise price of the notes being at 90% of the 5 day volume-weighted average price (VWAP) [original ASX announcement of expanded funding April 2021].
Recent history suggests that Mercer (the company issued these notes) is unlikely to be employing a long-term hold strategy. The latest published top 20 shareholders data displays no record of them retaining the 300,000 plus shares they obtained from last year’s funding injection [top 20 May 2022].
I’m expecting more churn to come but see it all as very divorced from the fundamental value proposition of Anteris. It’s all just white noise.

New band member [ASX announcement]. This guy seems like he is kind of a big deal in TAVR. Important long-term when persuading interventional cardiologists to switch devices — and the two major TAVR companies know this too.


This is your heart…This is your heart on AVR…any questions?
I’ll say this at the outset: I think Anteris is a great company with a great product. My investment thesis is that it is a superior product that will benefit thousands of patients. This is a great thing. But it’s not why I have invested in it - at least not for any altruistic reasons. I have made an investment in this company to become wealthy. To enrich myself. I’m not alone in my selfishness. Human selfishnesses is also what drives rational humans to desire to ensure products surgically implanted in their human bodies are of superior quality. My thesis is that our collective selfishness will enrich myself because it improves the lives of others. It’s all very Adam Smith really.
There are now 13 patients in Georgia who are alive because of DurAVR. This small former Soviet Republic was chosen specifically because these patients otherwise have no access to commercially available trans-catheter aortic valve replacements but still have modern enough hospitals in which experimental surgery can be performed. It’s a strange Goldilocks zone for anyone to find themselves in. It of course exposes a hopeless misery that must exist for thousands of sick people on the other side of this metaphorical border with the wealthy industrial west. It conjures images of Eddie Murphy walking down a beach throwing starfish back into the sea, but although it makes a difference to each of these 13 individuals, the truest motive for a shareholder - especially of a publicly listed company - is always profit. I say this without shame. This is just a fact.
I preface the following video with my above statements:
https://anteristech.com/news/Live_In_The_OR
It is from last fortnight’s AGM when CEO Wayne Paterson performed a live-cross to the operating theatre in Georgia and speaks to surgeons from Anteris’ advisory board who are in the middle of implanting the second cohort of the first-in-human trials for DurAVR. In addition to learning that Anteris has a better NBN provider than I do, you may find it deeply informative for other reasons. Take the time to watch it if you are interested. It is truly fascinating to see the practical results of investment dollars at work.
Just a warning for those in their 4th decade or so: you may get a flashback or two similar to what I experienced. There is a touch of Guy Smiley’s ‘Here is Your Life’ [1] to the whole thing. I think it is a combination of: the surprised intended audience (shareholders); Wayne’s confidence and charisma; the carefully choreographed live cross itself; the explanation of the behind-the-scenes-workings; and, the obvious sentimentality which treads a tight-rope of cheesiness which all conspires to create this effect. It’s great stuff. But I’m a shareholder, not a saint or philanthropist. This story has a place, but if you were to buy for this motive alone you could be buying for the wrong reasons.

Bit of a share price bump today following a couple of developments:
Things continuing to track well.
Quarterly cash flow statement [ASX announcement].
Anteris now has $42 million in the bank and is funded for 5 quarters. Great news for a company not in the habit of having some winter storage on hand.

The net-worth of the people on the bus goes up and down…
The share price of Anteris has been retracing downwards since after last week’s capital raise. Can’t be certain where it goes from here, but it looks like it will fluctuate. I can’t see it doing much in the way of a serious and permanent re-rating until there is some solid FDA news or an objectively consequential takeover offer.
Bit of a jump today. Directors (or at least their trustees) buying on market appears to be a ladder square [ASX announcement]. The snake of geopolitical crisis or even just the cobra of low investor sentiment lurks at every corner however. Still a while away from $88.00.

An announcement today of a Brisbane-based interventional cardiologist joining the global medical advisory board [ASX announcement].
The announcement indicates further study locations will include Australia. Yesterday’s announcements included the most concrete written references I have seen issued by the company that the early feasibility studies for DurAVR (part of the US FDA approval process) are imminently underway.
CEO Wayne Paterson has pointed out several times over the years that investors should be careful not to confuse this process - for medical devices - with the much more protracted FDA approval process for pharmaceuticals or vaccines. Things definitely seem to one picking up pace now.
Details of the capital raise now announced. Strategic US investor now has about 14% of the company, scoring 1,840,000 shares for the somewhat generous discount of $15.00 Australian a share [ASX announcement].
Excellent news overall but. The deal injects $20 million US ($27 million AUD) leaving Anteris with close to $50 million AUD in cash, or about 2 years worth of funding at current levels. It takes the desperation out of the sale/acquisition process as well as signifying legitimate US interest.

Trading halt pending capital raising announcement [link here]. Makes sense to take advantage of the recent uptrend in price, just hoping it is not too dilutive.
The Anteris board has rejected the recent merger proposal (ASX announcement here). They were confident enough in its lack of value for shareholders to not even put it to a vote.
Market looks like it could take a while to realise what a good decision this is, but that’s just how it goes. I’m very happy with the quality of executive leadership at the moment.
Buy the news…
If you can afford to. At $832 a year an AFR subscription is a bit frothy in my opinion. If you got in at the ground floor or are already a made man with that sort of confetti money lying around on the bridge of your yacht the linked article is here.

Nobody in this town works without a retainer…
Sometimes you just have an obligation to take an offer a bit more seriously than it deserves [1].
After a bit of reading and viewing CEO Wayne Paterson’s interview on the matter (as posted by @Callawood earlier today - thank you) I’m even more convinced that this is the case with SIO Capital’s clumsy attempt at fleecing some pretty streetwise Australian retail investors in a New York shell game…That’s not a valuation - this is a valuation.
Whilst at about 12% of the share registry SIO Capital are Anteris’ biggest shareholder, they have also recently joined the fairly non-exclusive list of institutional investors Anteris has now outgrown. Their proposal has probably come a bit too late to be meaningful.
Just an aside here: Although I am pleased to learn that Anteris is actively pursuing other avenues for a NASDAQ listing I just can’t really bring myself to accept this is a completely necessary step to acquisition. I don’t have any expertise in this area but how hard can it really be for a motivated entity to buy something overseas? It might cost me an extra $5 in brokerage but even I can navigate my way to buying some Apple shares.
My little rant aside I now have a great deal of confidence in this board in assessing the value of any offer presented to it and recommending the best way forward for shareholders. At this stage I’ll be very surprised if they conclude this is the best we can do.
And perhaps most importantly for our community you couldn’t design a worse scheme than this type of merger proposal for capturing value on a Strawman scorecard: even if some US scrip 20Xs there’s no bragging rights in it here. No sir. ASX all the way for one Mr Pablo E Bruh.

“I have not the pleasure of understanding you” - Mr Bennet, Pride and Prejudice
An intriguing missive at an odd hour today about some sort of proposal [ASX link here]. I have no idea as to its decency. I’m not sure how to feel about it but I’m leaning towards being flattered by this somewhat secretive admirer. I must away, I have some research to attend to (ie googling about a quarter of the corporate concepts contained in this thing). Yet I do declare that this is most irregular.

No one ever knows why a share price does anything in the short term. But today’s 4% bounce coincided with a bit of national media coverage of Anteris’ recent progress. Link here for those with subscription to the Australian:

Full Tank
Thrilling as it is to run on empty it gets a bit wearisome after a while [1].
So it was a good feeling today to have Anteris confirm that they now have enough fuel in the tank for a full four quarters [ASX announcement]. Over twenty million in scrilla in the bank.
I’m hoping this is enough time and money for at least some of my current investment thesis to play out. Or - if Anteris is still going it alone at the end of 2022 - that the company will be in a position to raise capital on better terms than at any point than it has been in the last few years.

More details on the same recent announcement regarding positive 30 day data of first 5 human patients. CEO Wayne Paterson in another interview. Again, beware of potential bias of the source and potential incentives of the same, nevertheless a concise summary of Anteris’ progress:
Doesn’t look like there will be mainstream media coverage yet of this news for the moment unfortunately. The following is still an informative write-up. Anyone reading it please be aware the source can receive a fee or other incentive for its publication:
Good - but expected - news for the first 5 in-human patients for Anteris’ TAVR device [ASX announcement]. ASX is a bit of a tough crowd this morning judging from early price activity, sentiment down all round but.
Last Minute Flights
There is a growing chance that Anteris becomes an ASX success story of 2022. However, the odds that most Australian investors (both retail and institutional) miss this flight of fancy are shortening in tandem with the sky above Anteris clearing to blue.
It is a question of risks and how we manage them. As a species we are fundamentally geared towards loss aversion. It just makes sense for our early warning systems to generate false positives – like when you mistake a stick in the bush for a snake. If your ancestors had lacked the imagination to make this mistake they probably wouldn’t be your ancestors [1]. It may also be the reason why some people freaked out about the positioning of the iPhone 11 Pro’s iconic three cameras [2] [3].
The point here is that systems designed to help us can sometimes be calibrated a little too conservatively. I suspect Anteris is still running afoul of many Australian investors’ screens. This will especially be the case for any screen relying on earnings (or even sales) – as there is only one sale potentially relevant to Anteris’ 2022 outlook and it’s likely to be a big one.
For anyone interested in Anteris but is seeking comfort in trends I would suggest a larger focus on the positive trends occurring in: capital management; insider ownership; and book value per share.
These are good reasons for owning Anteris and they are independent of any upward momentum the share price has exhibited in recent days or weeks.
Anyone interested in Anteris but is waiting for more qualitative data – such as the imminent 30 day update of the 5 first-in-human patients or the likely (US) Q1 or Q2 2022 FDA news – won’t be early, and likely won’t capture as much value.
Any screens excluding Anteris aren’t wrong. They are just not designed to capture whatever opportunity presently exists in a company like Anteris. It just won’t even show up on the radar.
The risk in those cases is that investors just miss out.

An Aortic Valve Replacement Challenger Always Repays Their Debts
Especially if they were paying 18% interest and they now finally have some walking around money (ASX announcement). More good news and practical steps from Anteris. There was a time when we would have found a conference in Tahiti to attend or otherwise managed to be accosted by some purveyor of Magic Beans who would quickly find that dosh in their possession.
And ‘sensible with money’ is always an attractive quality to have when you are flaunting that open dance card.

Capital Advisory Firm Obtains Terms Akin to a Coles Discount Docket
OK, that’s a slight exaggeration. But at a 6% discount - plus whatever margin above $8 Anteris is trading at the time of striking - Evolution Capital certainly didn’t wrangle any sweetheart deal that is much better than a 4% discount at the Shell petrol station bowser for their underwriting of Anteris options (ASX announcement).
Trust me, in Anteris capital management terms this is a coup.
Even if Anteris still has half of its options left at the time of expiry it still will have managed to secure $10,000,000 in additional funding for only $600,000.
The whole money situation has even made the Directors feel the awkwardness and two of them (CEO Wayne Paterson and Chairman John Seaberg) have dusted off the cobwebs from their wallets (ASX announcement). Each has executed their full contingent of $7,000 shares adding a total of $112,000 back to the balance sheet by these two transactions alone.
Additionally, Evolution Capital will be issued some incentive not to offload too early in the form of an allotment of 75,000 unlisted options exercisable at $10. I’m under no illusion that they are necessarily in it for the long haul but I don’t really see the scope for any particularly large and damaging dumping of stock here, especially when judged by the historical standards of Anteris. Still a lot of reasons for the share price to break the shackles of $8 and go for a little run.

Gumtree customer sniffing around Anteris
Anteris has gone into a trading halt [ASX announcement]. Pending the outcome of a proposed underwriting transaction in the event not all options are taken up. Basically the equivalent of some bloke saying he’ll take the fridge off our hands if we don’t sell it by Wednesday and if we also knock $50 off the asking price.
Not bad news at all, but I was briefly anticipating something much more exciting when I got the Nabtrade text. Just a couple of tyre-kickers in the scheme of things really. Righto mate, I’ll keep waiting for this Medtronic fella to call I reckon.

Alchemy in progress - Options being converted
Looks like the Anteris capital management goose is finally laying some golden eggs.
Latest update is that a further 340,872 options have now been converted adding about $2.7 million to Anteris oft-bare coffers [ASX announcement].
So that is a total of 669,157 so far, or about $5.3 million.
I am quite confident there is substantially more to come, including my own small IRL parcel. Trading of AVRO ceases COB Monday 13th December 2021 with the options themselves expiring on the 18th December. By the time the dust settles on this I can foresee Anteris being in a position where they have obtained a significant portion - and likely the majority - of their possible $20 million from the original 2.5 million options from their (or rather Admedus’) December 2018 rights issue.
This will improve Anteris’s prospects in two ways. Firstly, the money will be put to good use in the new year as Anteris’ efforts for gaining FDA approval in the United States go into overdrive. Secondly, Anteris will pull up its anchor from the $8 seafloor - great for investors for obvious reasons. But it also means further capital can be raised at higher prices if need be, and, with a larger market cap, Anteris can both impress potential suitors and ensure a higher starting point in any future bidding war.

Progress report - First Quartertime
A couple of things today. Anteris has tweeted some context to their PCR London Valves presentation, great video from a cardiologist who clearly knows what he’s talking about pitching the case for Anteris’ TAVR solution [video link].
Those watching to the end of the 6 minute video will observe the phrase “DurAVR THV is not available for clinical use” - which while still technically accurate this is a phrase increasingly packed with nuance.
There are presently 5 human patients in Georgia (the country between Turkey and Russia, not the US state) who are kicking goals 7 days after some clinical use, as Anteris has announced today [ASX announcement].
While this is only a quarter of the way into the nominated 30 day endpoint those following this company know this isn’t a fair match. The fix is in. This is as close as you can get to proven technology ahead of FDA trials (or at least early feasibility studies) which will almost certainly happen next year. And - as CEO Wayne Paterson is fond of pointing out - Medtronic (the AVR space’s biggest player/Globetrotter) has previously acquired pre-clinical valve companies for figures well north of the $500 million USD mark [previous Medtronic acquisition].
The arbitrage opportunity regarding options has closed now with the striking of about $1 million worth of the $8 options expiring December 18th 2021. The next biggest lot - at $10 - aren’t publicly traded so I’m foreseeing little resistance at that $10 mark early into the new year.
This thing will pop. Get your cheap seats now and watch these guys dazzle the Washington Generals of the FDA in 2022.

PCR London Valves
So Anteris had their little Show and Tell Day in London. They smashed it apparently. I wasn’t there, but they were super excited and proud when they came home and announced it today (ASX announcement). I’m proud of them too. Printed this one and will put it on the fridge. It’s important to encourage them. It’s just great to see them happy and thriving really.

** Edit 26/11/2021: Partly for balance, perspective, and a little bit just for fun, I am rebooting this Bear Case from circa February 2019.
But more importantly because it both explains some of the genesis of the tightness of Anteris’ share registry (a Phoenix rising from the burned ruins of the dreams of some ASX baggies like yours truly scooped up by sophisticated investors on the cheap) AND it demonstrates just how uncertain the new investment case was nearly 3 years ago, and, by extension, how much it has been de-risked already. Both those factors are relevant to understanding how the negative legacy of a company can lead to a present opportunity being undervalued. **
Dubious Track Record
Albert Einstein utilized a famous thought experiment to explain his theory of general relativity. It involves the different perspectives of a person travelling on a train versus that of another person (more accurately, another man, women not winning the right to watch trains from platforms until the late 1970s – in fact train-spotting remains a very gender-imbalanced past-time to this day) watching that same train from the platform [1]. I understand about 15% of this little allegory, and about a nanoparticle of a percent of the broader theory it seeks to explain. It is often said that if you can’t explain something simply then you don’t understand it. I don’t know what is said of those who don’t understand the simple explanations, other than that a deep gulf exists between the minds of the likes of Einstein and yours truly.
The reason I mention such an abstract topic is twofold. Firstly, the task of watching Admedus these days is like watching a slow-moving train wreck, unfortunately from inside one of the carriages…the third class one getting struck by the lightning…in the early days of steam engines when disastrous train crashes still happened with relative frequency and first aid was in its infancy. Admedus’s 4C quarterly released on 21/01/2019 and their response to the ASX query re the same [20/02/2019] are just the latest examples of this. Money is being spent like it’s the last days of Rome, for little result, and further capital raises are on the way to keep this thing afloat for reasons I can only chalk up to tradition.
Secondly, I do not understand the perspective of the two sophisticated investors who – from the safety of the platform – have seen what was unfolding on the tracks and hopped on the 5:00pm insolvency express anyway. What were they told to make this happen? Now representing close to 50% of the share registry I am morbidly curious as to why this was a good idea for them.
Probabilistically, it is just an example of wealthy people being capable of the same sort of mistakes your average mug ASX punter is prone to. Ideally, I am faintly hopeful that their unique perspective and access to boardrooms – which must be decked out with the most beautiful of mahogany supporting porcelain plates wielding danishes and other pastries of the topmost of notches – has informed their decisions to jump aboard. Time will tell which.
Christmas Bargains at Anteris
The usual sell-side caveats apply to the following video, but Anteris CEO Wayne Paterson is making a coherent and increasingly compelling case regarding the present opportunity for Anteris investors.
Beyond the present arbitrage opportunity with the “in the money” listed AVRO options set to expire in weeks the crux of this argument is this: Anteris is feasibly worth something in the order of 1 billion AUD to more than one US corporation capable of paying that price, yet (despite its deceptively priced $10 shares) it boasts only a $80 million market cap on the ASX.
The asymmetry of these two valuations remains my reason for staying invested with growing conviction.
https://anteristech.com/news/FIH_outstanding_results

** Edit 22/11/2021: I first shared this in February 2021, but it remains a good outline of Anteris' present business model and opportunity for this niche and somewhat misunderstood compay. **
Since I first shared my investment thesis for Anteris (formerly ‘Admedus’) in July 2018 most of what I stated has not played out at all and I have experienced thesis creep. I have strived for transparency with this and documented it in the #Investment Thesis straws.
Much has changed for the company’s strategy which I will summarise below. However, in terms of Anteris’ business – and where any value in the company resides – there has been some consistency. Anteris prepares bovine tissue, through a patent-protected process, for surgical implantation in humans, chiefly for heart surgery. Its competitive advantage lies in its claim to these tissue products not calcifying which reduces post-surgical complications and the need for further surgeries [details are available at Anteris’s website].
Its flagship product is for Aortic Valve Replacement (AVR – hence the new clever stock ticker). The ‘DurAVR’ boasts being a single piece valve. Anteris aims for its product to be used in both Transcatheter AVR (TAVR), where the valve replacement is performed using an artery of the leg or chest, and the more traditional Surgical (SAVR), which is your open-chest surgical procedure. There are some big players in both these spaces as you can guess and this is where the change of strategy is important.
Anteris (or rather Admedus) tried and failed as a direct retailer in this area. Somewhat understandably, it proved to be too much for an ASX-listed pre-profit company largely having to sell to US based hospitals and cardiologists. These organisations and surgeons are inherently geared towards buying from bigger and more established companies.
Anteris now appears – perhaps with the exception of the CEO’s salary – to have accepted its fate as antipodean minnow. The waters of the larger northern oceans are infested with sharks bearing the names of: Edward Life Sciences (approximately US $53 billion market cap); Medtronic (approximately US $158 billion market cap); and Boston Scientific (approximately US $56 billion market cap). Success for Anteris will now look like either forming a licensing agreement or partnership, or being acquired by one of these bigger players.
For my money I will accept a third strategic option: a wave of wild unwarranted market euphoria driven by some Reddit randos which I will happily sell into.
First-In-Human study
Good news from Anteris (AVR) sometimes feels like the stuff of science fiction, but here it is: ASX announcement 22/11/2021.
Recent months have seen Anteris continue to work through some its capital management issues but this is the first real #TAVR news for some time: five patients already implanted with Anteris’ DurAVR valves for a first-in-human (FIH) study. Safety endpoints to be a 30 days and 1 year.
Anteris is also continues to put its face in at the gala events frequented by the aortic valve glitterati and there is still every chance it will catch the eye of a wealthy suitor.
Timing of this news has also been good enough to provide an additional nudge to the share price in a way likely to ensure further striking of options due to expire in mid-December – a further boon to Anteris’ capital position.
Remains one to watch closely.

Newsflash: Science is Still Risky
Anteris is steadily plodding it’s way closer to inflection points over the next year or so. It’s an expensive stroll but. These are the details of another capital raise (link here).
A dilutive share issue, but not at a hugely significant discount to the retail price. Coupled with a strategically sensible option placement - subject to likely shareholder approval - with a strike price competitively, and complimentarily, north ($10) of those expiring in December this year ($8).
This is hopefully indicative of the status quo for the price action of Anteris hovering between these two points over the rest of the year and beyond. Which is a good foundation for any positive, and actual, news (such as the commencement of an FDA early feasibility study) looking like a bolt from the blue and an 'overnight success story'. Still a lot of potential upside here.
CEO Wayne Paterson has participated in another good interview about Anteris’ progress, strategy and prospects with Proactive Investors, uploaded on Tuesday the 6th of April 2021.
It is worth acknowledging that Proactive Investors conduct a particularly generous and receptive interview and when viewing bear in mind the financial media company’s own disclaimer which includes the following:
In certain circumstances the Company, its related bodies corporate, or their affiliates, may have received, or be entitled to receive, financial or other consideration in connection with providing information about certain entities on the Site, which may include the above Content.
However, when dealing with ASX microcaps sometimes any information presented in a manner resembling objectivity is worthwhile. All told, Proactive Investors perhaps offer no greater bias than the likes of any sell-side broker coverage you might see of larger companies, such as anything on the ASX 300.
A couple of quick takeaways for me are:
· At the 4min18s mark Paterson provides some context to what a 38% reduction in calcium means in a study in rats when compared with 10 years clinical in-human data for Anteris’ ADAPT tissue. The market may still be underestimating the significance of the recently announced study and any sell-off on that basis appears to have been unjustified;
· At the 6min0s mark Paterson is asked about his competitors. He takes the opportunity to differentiate Antersis from both Edwards Lifesciences and Medtronic. He particularly made a point to state his belief that Anteris remains competitive with Edwards Lifesciences’s new product (‘Resilia’ click here for details) in a way that suggests they are still in the bidding war – or at least should be; and
· At the 7min40s mark Paterson is asked about his expectations for the FDA approval of an Early Feasibility Study and Paterson is unwavering in his confidence; and
· Finally, at the 10min10s mark Paterson paints a picture of regular discussions in Minneapolis with multi-billion dollar heart valve companies that is simply worlds apart from Anteris’s present quaint little ASX digs where its housemates have similarly big about dreams digging a hole and hoping to find gold. Someone is wrong here. I hope it is not Wayne Paterson, and he has my increasing confidence in his assessment of things over that of Mr Market.
In general Paterson is exuding a very calm confidence of late and speaking very openly and frankly about what appears to be his genuine belief in the value of Anteris and the catch-up work the market has ahead of it. I am particularly grateful for the transparency he is displaying with respect to discussions with prospective buyers of Anteris. In doing so he is also demonstrating his cognisance that any deal will ultimately need the approval of Anteris’ share registry, largely populated by retail investors.
Full results out today (ASX announcement here) for the anti-calcification with Anteris going head-to-head against Medtronic's product. Similar to the interim results published in November 2020 the result is an approximately 38% reduction. Good news.
** Edit 19/03/2021: CEO Wayne Paterson. I’ve dispensed (heckled) some tough love over the years as this poor rich bloke as he’s been rolling snake eyes at the craps table of capital management. I may have stood close to the brink of libel in angry defence of my vanishing capital but I will also pay credit where it is due: the man has some tenacity and his hot-hand is now coming through. He’s certainly started rolling some 7s with this latest capital injection for Anteris, likely to be ratified at an EGM today.
I’ve rebooted this flashback (from circa 13/08/2018) for contrast. Some darker times. A medieval twilight when this company was addicted to the adrenaline rush of what seemed like constant near-insolvency. Paterson's got some vision too, his eyes were always set on the TAVR prize, I’ll pay the man his dues for that also. **
Our awareness of the scarcity of resources is as old as the human condition. Our steadfast desire to elaborately ignore or disguise such scarcity may have arrived later but is still at least several centuries old. The origins of the phrase to rob Peter to pay Paul is disputed, but it was likely a 14th or 15th century English analogy about taking away the funds of one church to pay another [1] [2].
It is a phrase I am reminded of when I hear or read the word recapitalisation which, when it comes down to it, is just swapping one form of debt to pay another. The word has scored its first mention in Monday's ASX announcement, Admedus' latest seeking yet another extension of its trading halt [the announcements themselves are starting to conjure images of a recalcitrant student passing dubious medical certificates seeking extensions of an assignment deadline – more fool me for continuing to read them. However, I have resisted the urge to close my recommendations and cap some scorecard losses at 50%, to do so during a trading halt feels disingenuous].
It now appears that the small debt facility (between $5 and $10 million) that was established as bridging alternative to an unpopular capital raise in 2017 has itself become an albatross around the neck of Admedus.
When robbing Peter to pay Paul is mentioned in finance it is often in the context of a Ponzi scheme. In stating this I am alleging no criminality or dishonestly on the part of Admedus. Nor am I inviting the comparison, which I think at this stage would be both unwarranted and unfair.
However, at approximately US $600,000 per annum, Admedus’ remuneration of its CEO appears to be based on that of a successful and prosperous company – á la the Kevin Costner concept of if you build it they will come. To my mind, it was this notion that exponential growth was just around the corner that also informed the establishment of the loan to begin with.
If the new state of affairs has caused a rethink of Admedus’ capitalisation structure to the detriment of existing shareholders – which would also be occurring in the context of a downgraded revenue forecast – then perhaps a rethink of Admedus’s salary expenditure may also be justified. Lest the comparisons of a Ponzi scheme invite themselves.
** Edit 18/03/2021 Click Here for the latest iteration of the Bull Case's presentation. I recently referenced this same video when highlighting my personal uncertainty regarding the company's strategy and lingering execution risk (refer to #Bear Case). Perhaps further proof that it is possible to be more than one thing at the same time (refer to #Investment Thesis). **
Anteris has posted a pretty slick presentation (made 22nd Feb 2021) summarising the current bull case [link here]. It goes for about 20 mins or so and is a good introduction for anyone new to the company. The publication of this was probably in part behind the pop in the share price today (wed 24th Feb 2021).
I have just finished watching Anteris’ “On Demand” presentation at the ASX Small and Mid-Cap Conference for 2021. I’ve got to tell ya, these things are sounding more and more like a polished Presidential Campaign speech.
Firstly and importantly, this is not me in any way deriding the quality of the speech. CEO Wayne Paterson can slap together a great presentation. I am just not sure who the target audience for this presentation is anymore. He can sell the story, sell it well, and it is there is the potential for some exciting chapters for the near future. It’s a story that is now complete with a neat little guitar intro that sounds like The La’s are now onboard too. I am just not sure who he is selling it to right now and that bothers me.
And because this adds to my general uncertainty about the direction, and ultimate destination, of Anteris I am placing these thoughts in the #Bear Case column for the time being.
Who is putting the demand in On Demand? That is the question. Because if it is me – a retailer investor, finally sitting above his average share price but nevertheless also sitting in his PJs at 5:30am watching this cult classic – it has missed the mark. In that case Anteris is preaching to one over-extended choirboy who has an eye for an exit strategy (or at least a payday) as opposed to putting more coin into this thing.
I am hoping that this is not the case. I am hoping that with recent funding secured and other options – including ASX-listed options – now being in the money that the purpose of this presentation is not that of a mere prelude to yet another capital raising.
However, if the reason for this recent promotional behaviour by Anteris is to drive up the share price on the ASX and thereby springboard the company into a larger bidding war to be held in off-shore boardrooms then I am 100% on board with that.
I just hope the CEOs of Edwards and Medtronic (in fact I would settle for even just one mid-level investment banker at Macquarie) are somehow watching this stuff too.
If we are going to be Presidential about this then I’m not looking for 4 more years – I’d much prefer to use the measure of what happens in the next 100 days. And I’m looking for a clean sweep for the little man.
To paraphrase Anteris' official response to the ASX speeding ticket: "Who knows why the market does anything?"
I have referenced an interview conducted with CEO Wayne Paterson in the valuation which I have added today (17th Feb 2021). The interview was published on 6th of January 2021 and the link can be found here. For those interested the numbers I have used to inform my valuation start at about the 19min 50s mark.
** Edit 11/02/2021: I first shared this in July 2018. I have posted a series of current updates in February 2021. I have reactivated this old straw to give some context to Anteris’ progress **
The ancient Romans are credited with first implementing milestones. Literally stones placed along points of road, engraved with propaganda praising the emperor. Some even included more useful information, such as the distance to the next Roman settlement or even Rome itself [1].
On the 11th of July 2018 Admedus announced a Transcatheter Aortic Valve Replacement (TAVR) Milestone (ASX announcement). A sheep has now been successfully implanted with a major component of a type of device that in humans presently retails for approximately $30,000 US. Admedus believes (with the correct partnerships) it has a chance to produce better devices for cheaper.
TAVR is an exciting concept. However, I believe that for Admedus its TAVR fortunes – both good and bad – are very separate from its core growing ADAPT business. I propose to post any updates under this straw hashtag to keep it separate from other developments for the company.
Finally, it is important to remember that a milestone, however significant, is merely a waypoint to a destination as yet unmet. If Admedus reaches any sort terminus in a TAVR venture it may only be after a long journey.
** Edit 11/02/2021: I first shared this in July 2018 however much of it is still relevant. I have now added more recent straws to Anteris and I think they should be read in the context of caution and scepticism I first described here. **
The very colour of the sky itself has been called into question in recent years by historians, linguists and psychologists [1] [2]. It turns out that our ancient forbears may not have been able see the colour blue and this could be the reason behind the Greek poet Homer’s description of the sea as being “wine-dark”, rather than blue. The theory suggests that only the ancient Egyptians, whose environment contained the correct pigments to make blue dye, could see the colour blue.
The sky has been blue since at least the 1900s however. This was when legislation was first enacted in some areas of the United States to curb the pitches some shady stock promotors made to struggling and gullible farmers [3]. The term ‘blue sky’ is now a part of the investment vernacular, used to describe risky investments that promise sky-high returns.
Admedus has had a complicated relationship with the concept of blue skies in this latter sense. Since first listing publicly in 2004 both the promotions of its many capital raisings and its organic following of retail investors have touted the idea that its immunotherapies division would take the company to these heights.
With this pipe-dream now firmly dispatched the temptation might be to see such potential elsewhere. In some ways TAVR presents a more natural fit for the company. Admedus’ foray into this field is based on its valve being created with its patented ADAPT tissue, and in some other ways any developments in this field may be more in Admedus’ wheelhouse than bringing a successful vaccine to market. However, much more work is required – or unpredictable events, such as partnerships, need to occur – before these developments begin to shift the fundamentals of this company and by extension justify a shift in the share price.
In the meantime I have created the separate straw (# TAVR Milestones) to track updates in this area, which Admedus refers to as a multi-billion dollar addressable market [4]. However, some healthy scepticism rarely goes astray and we may be better off taking a page from Homer’s book (or more accurately, that of his unknown scribe some centuries later) and turn a blind eye to blue skies.
A persistent concern for me with Anteris, and rightly central to much of the Bear Case, is its lack of insider ownership.
No one wants to be sold a dud. We want to be deliberately played even less. The specter of Lyle Lanley – the infamous grifter who sold Springfield an obsolete monorail – has loomed large with Anteris. As it does with any ASX listed company high cash-burn, minimal inside ownership, and generous compensation for the company’s executives.
In recent months my view of CEO Wayne Paterson has softened somewhat. I will now concede that he has a genuine and demonstrative belief in the technology of Anteris and a plausible strategy for the company to become profitable. However, despite some concessions (listed below) to concerns regarding a lack of insider ownership it remains clear that insiders can think of many much better places for their own money.
The most concerning take-away here for me, as a retail investor, is that – just as you can pay too much for a good company – there are no guarantees that the successful roll-out of Anteris’ products will equate with a return on equity for Australian retail investors. Anteris has a very chequered history of raising capital in dire circumstances. The terms of many of these recent raisings have favoured overseas-based institutional investors who operate outside of the mainstream and secure generous terms for themselves.
Extrapolating this recent history forward I have genuine concerns that this approach to capital management could inform Anteris’ approach to licensing deals, partnerships or negotiations for the foreign acquisition of Anteris.
As far as I am aware the following is an accurate representation of Anteris’s current share registry:
There have been some recent moves to a more stock-based form of compensation for executives which I think are steps in the right direction. Both the above-named persons have extensive holdings of options for Anteris.
I do not think that inside ownership is the definitive and solitary measure to be used for assessing the value of a company, but it is a significant one.
My last straw on a TAVR Milestone for Anteris (formerly ‘Admedus’) was in March 2019 and related to the implantation of 5 sheep with the company’s TAVR device. TAVR stands for Transcatheter Aortic Valve Replacement and they are devices used as an alternative to Surgical AVR (SAVR) which refers to traditional, and more traumatic, open-chest surgery. Anteris has aspirations in both TAVR and SAVR. However, the highest margin opportunity is in TAVR – the expensive devices currently cost around US $30,000 [1]. This is a similar price used by ‘MST Access’ in their analyst report which was commissioned by Anteris and published by Anteris in October 2020 [2].
It has become clear to me that there is a symbiotic relationship between TAVR and SAVR and I should more accurately just be posting on ‘TAVR & SAVR Milestones’ or even just ‘AVR milestones’. Anteris needs to demonstrate success in all areas of AVR to be considered an attractive target licensing, partnership or acquisition.
In January 2020 Anteris reported approval for an in-human SAVR trial of 15 patients, with the first patient being discharged from hospital following SAVR being reported in April 2020.
In June 2020 Anteris reported a further animal TAVR trial involving pigs. In a progression from the sheep – who had been surgically implanted with the device – the Anteris TAVR device for this pig study where implanted via catheter through the artery, similar to its ultimately intended human use.
In October 2020 Anteris reported that patients in the in-human SAVR trial were exceeding expectations.
In November 2020 Anteris reported positive results in an interim study comparing its valves against those of competitor Medtronic.
Anteris is scheduled to hit further milestones this calendar year. I will endeavour to post these updates using the updated # AVR.
My present view (February 2021) of Anteris is that it is now both simultaneously a good and a bad investment. It is my Schrödinger’s Cat of investments. Which is probably just of hoity-toity way of saying investing in Anteris is still a gamble. Perhaps the only distinction I would draw between this and a mug punt is that for Anteris – unlike many games of chance – the probability of success is ultimately unknowable ahead of time.
If things go well for the company over the next 18 months you can probably expect good returns, outsized returns, before the company even turns a profit. This is because such success would likely cause Anteris to undergo a re-rate by the market from its present meagre base of market capitalization of approximately $30 million.
If things go poorly you will underperform the market. Significantly so. There is every possibility, perhaps even a probability, that in the future you will open this box and find your capital cat dead and not looking very bouncy at all. There is a universe where you lose every dollar you invested in Anteris, at this time there is really just no way of knowing that we are in it.
As the Romans would say caveat emptor – “no take backsies”.
Conflicts of Interest
NB I am an Anteris Baggie. A significant portion of the savings from my early working life is in hock to this rock show. Refer to my previous investment hypothesis from circa 1st July 2018 for full disclosures about this and/or a cautionary tale about my evolving investment thesis.
Admedus is back, but don’t be fooled into thinking it is necessarily better. I’m still processing what its recent sale (be wary of taking the word ‘partnership’ too literally) of two of its most valuable ADAPT products means for the company. It is certainly a departure from my investment thesis and an apparent pivot towards TAVR. I’ll need to find out more before I decide what to do.
Be careful about throwing money at the latest incarnation of this capital hungry monster. More soon.
*** Edit 11/01/2021 ***
The long story short "The Mummy" was not a box office success. Anteris has now launched a sequel. Sequels usually suck, but that often assumes you are coming off a strong baseline. Anteris is not. This one could be worth watching now.
My initial investment in this company was based on some naïve and very optimistic expectations of Admedus’ immunotherapies division. This story has not played out and I experienced ‘thesis creep’ as I looked and found other reasons to continue to invest in this company.
Far more conscious of the dangers of this type of behaviour I am now setting out my current reasons for holding this company at the start of the financial year 2018-2019. My aim is to inject some accountability into my future decision-making.
I am in the midst of swotting up on ‘discounted cash flow’ and other concepts of stock valuation but am finding the task arduous. I hope to have a more precise criteria for tracking this investment thesis including some Free Cash Flow estimates in the coming months. Minus these forthcoming details the framework for my current investment thesis is as follows:
*** Edit 19/11/2019 ***
Latest entry in the Investment Diary of a Bagholder - 'The Thesis Creep':
Dear Investment Diary,
today I continue to hold.
Today's circumstances are so far removed from my original investment thesis that it could only be categorised as the most imaginative of fan fiction. But surely it is not long now before this erstwhile mediocre company pronounces that they, indeed, have made it rain. And they did so only because I waited as patiently as Rapunzel keeping my capital locked up in their terrible tower waiting for this good fortune,
yours inexplicably faithfully,
Pablo E. Bruh
*** Edit 05/06/2020 ***
Almost nothing like my original thesis, but a couple of things could be going Anteris' way, and possibly more has changed than just the name. This is still an absolutely speculative punt (and as a long term baggie on this I have given up on objectivity), but for the first time in a long time I think this could be a tempting buy even if I wasn't holding.
It is all down to TAVR now (point 5 of original thesis), and a binary outcome, make or break.
*** Edit 11/01/2021 ***
Desr Investment Diary,
Some truly weird stuff has happened the last two and a half years, but there is no time to explain. I did buy some more Anteris (that's what Admedus is now).
This company is still a gamble. However, the potential outcomes are seeming more foreseeable. This is less an unknown nag making up the field in the Melbourne Cup that you might bet on because you like its name and has easy colours to spot, and more like putting it all on black on a roulette table. So yeah, still a pretty stupid place to put your money all told, but any payoff is looking less surprising and potentially outsized. The odds appear to be narrowing.
Yours in questionable financial decisions,
Pablo E. Bruh
Getting dolled up: putting a little bit of lipstick on this pig
The transition from mad scientific animal experiments to cold hard cash is not a smooth one. ‘Dolly’ the sheep was cloned in 1996 however we’re yet to see the scientific and commercial breakthroughs that could see Michael Keaton doing my ironing as he so famously espoused in his politically subversive documentary “Multiplicity”, of that same year [1]. Frankly, even beyond the science there are some significant regulatory hurdles yet to overcome with that particular scheme, not the least of which being numerous covenants of International Law and the 13th amendment of the US constitution. I’m not expecting a mid-1990s model of Michael Keaton to assist in my work/life balance any time soon.
Admittedly, I digress, but on a serious note get a load of this cringe-worthy quote of how they named “Dolly” which makes Scott Morrison look like a feminist [2]. Imagine a scientist saying that in an important press release today.
What I’m saying is that things do change over 20 plus years, but sometimes it just takes that long. So although there has been another promising TAVR milestone announced by Admedus on the 19/02/2019 [ASX announcement] we may be a long way yet from anything that could be truly called good news. The gist of the announcement is that 5 sheep have now been successfully been implanted with Admedus’ device and they are so far enjoying their now somewhat unnatural existence – with most placing their career choices as being a sensible middle of the road option located somewhere between Sunday roast at one extreme and the much cruisier, but unexciting, jumper industry at the other.
My contention that Admedus’s core business lies in its less sexy [insert cliché New Zealand joke here] ADAPT portfolio of products remains (refer to #Investment Thesis). An Admedus succeeding on the back of TAVR – despite all its deceptive blue sky appeal – remains the stuff of science fiction. It is going to take a terribly optimistic market to ever see a money forest for the haunted trees of AHZ with all their hollow branches that once appeared to hold such promise. I think there may just be a little too much dead wood for even the most promising of green shoots to thrive in these conditions.
Good article about the very real risks for Admedus going forward with its focus largely on TAVR. There are dangers for a company going back to the drawing board as late in the piece as this. Admedus’ abandoned ventures to date have not instilled in me a great confidence of future success.
Any Port in a Storm
Visitors to the vibrant, prosperous and populous international port cities of Hong Kong and Shanghai could quite easily remain unaware that the modern historical beginnings of these wonderful places were steeped in human suffering and ruthless opportunism. Britain’s 156 year long possession of Hong Kong began in August 1842 with a one-sided treaty negotiated with a Qing dynasty on its knees. Crippled by weak government, in the throes of a national epidemic of opium addiction and militarily outgunned, the Qing accepted terms at the Treaty of Nanking which ultimately saw them cede Hong Kong to the British and make huge economic and political concessions for five ‘treaty ports’ on mainland China including Shanghai. It was peace, but at great cost, and the spoils of war went to the British and later to other western imperial powers.
Admedus is presently negotiating from a position of similar strength to the Qing Dynasty when it sits across the table from Hong Kong based Star Bright Holdings Ltd. Admedus’ ongoing existence is dependent on accepting terms inconceivable just 18 to 24 months ago.
The company has broken its silence on its ongoing voluntary suspension from trading with several ASX announcement’s yesterday about the negotiations [1] [2] [3] [4]. Notwithstanding the relief I experienced that the announcement was not in fact one heralding the arrival of administrators the proposed deal is nonetheless brutal to existing shareholders.
In November 2015 Admedus had a market capitalisation of $124 million. Today's figure sits at about a third of this. With this latest 10 cent placement Admedus would need to be about a three bagger from this point for me to break even. Thankfully the temptation to further average down is gone: If Admedus struggles to return to my average entry point then I certainly don’t want to own more of it. How the ship Admedus was steered to such dire straits in the first place can only be described – at least with the benefit of hindsight – as terrible navigation by management.
Whatever its fortunes from here, it appears Admedus will be a vastly different company from the one I first invested in. The long term motives of Star Bright – who will own 20% of the company, assume the role of its creditor, and install four directors – are unknown. However, there are many scenarios where the spoils of future profits could be distributed at great cost to the existing retail shareholders of Admedus.
Not exactly current news, but a concise summary of the TAVR story in a mainstream media article:
ASX announcement – Trading Halt, pending capital raise
Admedus has now announced a trading halt pending a further capital raise, the second for this calendar year (ASX announcement). Unfortunately, this comes at a time when its share price is down 50% from when I first recommended it on this forum.
Admedus is presently posting a loss of about $12 million a year, or about $3 million a quarter on average. However, its net cash-burn rate was about $6 million for this most recent quarter, at the end of which Admedus had only approximately $4.4 million in the bank.
The company desperately (never a good word) needs cash, and the details about how it plans on getting it are yet to be announced. However, one can be reasonably confident that whatever the means it will not be particularly kind to existing shareholders. Raising $12 million at around the current share price could involve the addition of approximately 90 million shares to its present share registry of 284 million – essentially a dilution of about a third.
But of course, whatever keeps the company afloat is the only chance shareholders have to make any return on this investment.
I made the mistake of recommending this company for a third time on Tues 31/07/2018, at the time believing the sell-off following its underwhelming quarterly results to be a market over-reaction.
I have now reached the extent of my buy conviction for Admedus (both on and off this forum). I will be steering clear of committing any more capital to this company and would urge all but the deepest of pockets to do the same. It will remain a very hopeful hold from me.
**Edit 08/08/2019**
This particular suspension was lifted but a similar suspension, based on same liquidity issues, was has been in place for a number of months in 2019.
If it quacks like a duck…
It’s probably not a great thing when a company you hold shares in reminds you of a faceless Russian cyber-criminal. But after reviewing the latest ‘solution’ to Admedus’ financial woes I find it hard not to see the parallels between the recently announced rights issue [1] and the phenomenon of ‘cryptolocking’ ransomware. The latter refers to the situation where a cyber attack leaves a person’s computer locked up and inaccessible until a ‘fee’ (read ransom) is paid to the perpetrators of the attack [2]. However, when dealing with criminals there is never any guarantee that your payment will actually unlock your precious resources…and I am, of course, still talking about the hackers.
Villains they may not be, but Admedus is now firmly in ‘Mickey Mouse Operation’ territory. At the very least the incentives of management are hopelessly misaligned with the aspirations of shareholders. CEO Wayne Paterson’s $829,000 a year salary remains in place. His own equity holdings are presently valued at less than $15,000. The CEO stands to gain much more financially with each passing month of Admedus’ existence than he stands to lose as the same company’s capital diminishes. If nothing else, this company has been a cautionary tale of investing in an entity with low inside ownership. There is no pig committed to this ham sandwich.
Non-salaried shareholders are now forced to decide whether to commit further to this cruel fairy tale to either avoid dilution or vainly attempt to average down further.
Investor relations at this stage are near non-existent, with the CEO’s credibility suffering a series of self-inflicted setbacks. A deafening silence has replaced the torrent of upbeat tweets of several months ago. The company no longer forecasts profits for 2019. The touted doubling of ADAPT revenue did not occur as forecast in either the second, or the third, quarter – the predicted figures so far off the mark they could only have been made truthfully by a person woefully unaware of the relevant information.
I’ll hold in the hopes that the company remains afloat long enough to allow me to rescue some capital at a price at least a little closer to that of recent capital raisings. For any non-holders seeing value in this company that I can’t, I’ll let the words of Dante speak for me: Abandon all hope, ye who enter here.
How long can an ASX suspension last?
How long is a piece of string? In a bygone era there was a particularly accurate, albeit dark, answer to this rhetorical question. The Table of Drops was first adopted by the British Home Office in 1892 [1]. This particularly macabre government document was used by executioners in the late British Empire. It considered the weight of the condemned to assign the length of drop and rope necessary to reach that optimal point thought to produce the most humane and dignified death – one with neither strangulation or decapitation.
A prolonged ASX suspension may not necessarily be a death sentence to shareholder wealth, but the limited information out there suggests it is likely not good news [2]. Yes, there are certainly cases where an ASX suspension is the prelude to a de-listing or bankruptcy. A period of time where managers, administrators or liquidators pore over the books, sizing it up like the clichéd undertaker might measure coffins before a gunfight in a cheesy western. However, I am somehow still not convinced this is to be the destiny of Admedus. The company’s voluntary suspension, which began in early August, continues. Since my last posting on this topic there has been another ASX announcement [3] announcing the resignation of a director and his replacement with one nominated by new substantial holder Star Bright Holding Ltd. When trading does re-open it will force a re-assessment on my investment thesis, but not necessarily all capital will be lost.
My ownership bias in the case of the Admedus is on display for all to see. With three recommendations for this company hemorrhaging a deep crimson on my scorecard I have an obvious motive for my optimism. But hey, at least with shares the most you can lose is 100%...or more accurately 300% in this particular case, still ultimately a recoverable setback for the long-term equities investor.
For the actual answer to our original question we must look to Chapter 17 of the ASX rules which basically say words to the effect of “it all depends” [4]. Not all of the stories at this end of town are fated to be a ‘penny-dreadful’. Yet even as I write these words I am reminded of a certain type of sunny outlook, oblivious to seemingly all facts in its way, the type espoused by Brian’s mate as he awaits his own slow execution on a particularly cruel apparatus of Ancient Roman capital punishment [5].
Strictly speaking this is merely news of a supply contract renewal, but hey, sometimes you just need a bit of a win. And for Admedus shareholders this is definitely one of these times. The three ASX announcements prior to Thursday’s had all been about the ongoing trading halt for a capital raising (the details of which remain a mystery) and its multiple postponements. The latest of these missives suggests that the company may resume trading on Monday the 13th of August.
In the absence of any facts relating to how Admedus plans to keep the lights on investors could be forgiven for having assumed the worst: that the only distribution the company would be doing is that of its remaining market capitalisation to its creditors.
Should the company wholly emerge from this progressing liquidity situation, however, it infusion business will continue to have a product to retail. There is a small existential comfort in knowing that even though the shares could not be traded, and that’s there’s been no substance in the communications to investors, the company is still there, ticking away. In the same way that I think, therefore I am, Admedus renews supply contracts, therefore it is.
Perhaps there is still some chance, at the eleventh hour, that AHZ will continue to be.
Admedus’ growth strategy and ‘path to profitability’ is based on its proprietary ‘ADAPT’ tissue repair and technology. Bovine tissue is taken to a manufacturing plant in Western Australia where it undergoes a patent-protected process to be made suitable for surgical use in humans. Admedus claims [1] to have a clinical and design edge in this industry, one of the most important aspect of which is the lack of ‘calcification’ of its implanted products which means patients may require fewer surgeries over their lifetime.
The sales of these products are being driven by Admedus’ use of trained specialist sales persons who pitch the product to various hospitals and surgical teams. The goal being that once a surgeon or hospital is ‘converted’ to the product these new customers are very sticky and will have difficulty going elsewhere. Admedus’ ongoing diversification of the ADAPT range is also designed to meet this end, becoming a one-stop-shop for these clients.
To achieve further scale to sales Admedus has secured at least one, and plans to secure further, Integrated Delivery Network (IDN) and Group Purchasing Organization (GPO) contracts in the United States.
The link for the most recent investor presentation from May 2018 (an interim AGM as Admedus transitions from reporting from Australian Financial Year to Calendar or US Financial Year reporting) can be found here (AGM Jul - Dec 2017). For the time-poor the slideshow PDF for the same is here.
Some relatively rare mainstream media coverage on Admedus’ ADAPT tissue technology in this Weekend Australian. Here is the link for those with a subscription https://www.theaustralian.com.au/business/move-over-miners-perths-next-hard-cell-is-biomanufacturers/news-story/9fbd765d30ae3b35902e923e4276aae1
Quite a disappointing quarterly result for Admedus today (ASX Announcement). Although growth continues (29% on Previous Corresponding Period) – quarterly on quarterly growth for the ADAPT portfolio of products was only 20%, far below the 100% increase in revenue touted by management.
The company has now also significantly revised its total revenue forecast for calendar year 2018. The company is now stating yearly revenue is likely to be $25 - $27 million – well down from the previously forecast $34 million.
With cash continuing to be burnt at rates one would expect would warm an average family-sized home in Siberia, Admedus is likely to need further capital soon. And any capital raise is likely to be at low prices, further diluting shareholders.
The company still claims to have established its beachhead in the United States, however today it is looking much less like Normandy (refer to #Risks) and a bit more like the disastrous Bay of Pigs invasion.
Comrades, days like this make it all too easy to lose faith in the capitalist system and to look for solace in a communal re-distribution of wealth. It is in recognition of this (and the fact that this company now represents two of my thirteen positions) that I hereby paint my scorecard red, and it shall remain this colour for at least several weeks (perhaps months) I imagine.
D Day. The phrase is now synonymous with the allied invasion of Nazi-occupied Europe on the 6th of June 1944, codenamed 'Operation Overlord'. The term itself is a planning tool, a placeholder reference for events to occur either side of it (as in D Day + 4, D Day -7, etc). But for inclement weather it may well have been the 5th of June 1944. General Eisenhower was forced to postpone the immediate deployment of 150,000 men, 12,000 aircraft and 7,000 sea vessels who were to spend a further day coiled like a spring. In making this call Gen. Eisenhower stated:
“The question, is just how long can you keep this operation on the end of a limb and let it hang there?”
The thousands of (mostly non-institutional) shareholders of Admedus are now asking themselves this same question. For them a ‘D Day’ of sorts is likely to occur next month, with July 31st of 2018 being the latest date according to the ASX listing rules. This is the date by which Admedus will publish its Quarterly Cash Flow report which, for this company, has customarily included an update of the sales revenue from its ADAPT products.
On the 19/4/18 AHZ CEO Wayne Paterson made a presentation to shareholders. In this presentation he forecast the next quarter's sales in ADAPT to be about $4.4 million - an increase of $2.2 million (refer to #Bull Case for relevant graphic). Cynics may point to the timing of this presentation which pre-empted the release of the first quarterly report of this calendar year which reported flat growth in ADAPT sales. The optimist, may in turn, choose to focus on the confidence that the CEO must have in making such a bold projection for what is an 100% increase in sales.
Either way, putting aside for the moment the CEO’s vision of '20/20’ - the goal to turn a $20 million profit by the year 2020 - there are limits to how long a company like Admedus can remain unprofitable. The establishment of a relatively small loan facility, recent further capital raises at relatively low prices, and the build-up of an expensive US sales team all weigh heavily on what looks like an increasingly fragile limb. There is only so long that Admedus can (literally) afford to miss its own guidance and objectives.
Bridging the distance in ADAPT sales from $2.2 million to $4.4 million may just be (to torture both this analogy and an idiom originating from the far less successful 'Operation Market Garden' of September 1944) 'a bridge too far' for Admedus.
* Edit 12/9/18 *
It was.
The ‘Bear Case’ for Admedus is based largely on one argument (which by no means reduces its potency), namely: Admedus will become broke before it becomes profitable. A good summary for the bear case can be found here.
It is true that, thus far, an investment in Admedus represents a failure to abide by Warren Buffett’s first and second rules of investment. Many things need to go right for Admedus to be successful, but only one thing needs to consistently occur over time for the bears to be right – and so far they have been.
If history is any guide then, at first glance, the bear case is all the stronger, with the cash burn of Admedus being one of its constants. It is then a case of inductive reasoning where the question becomes which data is most worthy of extrapolating forward – as the bull case relies on the proposition that this trend of cash-burn is being reversed.
For a more detailed discussion between Tom Cruise and Colin Farrell on the many perils of predicting the future, click here.
There has been some confirmation that Admedus is making progress to increase its ADAPT sales in Europe with a new contract with an Italian distributor announced on the 9th of July 2018. In recent years Europe has been something of a troublesome market and following slow growth new European managers were appointed, twice – first in 2016 [1] and again at the end of 2017 [2]. Last year, a further appointment was made for a new Chief Operating Officer, the person performing this role also being based in Europe [3]. Market penetration for direct sales in Europe has remained shallow and behind that of competitors, and as a result a new ad hoc approach to a distribution model is now being implemented.
A far less integrated market than the United States, small contracts of this nature will not have the sales multiplier effects of a successfully implemented IDN and GPO strategy (refer to #Business Model/Strategy). However, it is another step in the right direction and Rome wasn’t built in a day.
Over the past two years the company has experienced an overhaul of its business model following a ‘code red’. It has pivoted away from its costly and under-capitalised majority holding in a subsidiary dedicated to vaccine research and has reset its focus on its ostensibly less glamorous ADAPT tissue product range. Here Admedus lays claim to an IP ‘moat’ and boasts of an increasing range of diversified products.
Recent presentations of the company point to an increase in actual and forecast revenue for these products. These same presentations have displayed an impressive graphic (below) displaying the relatively high profit margin for these products when compared to the company’s staple revenue from its third branch - a division which sells and services medical infusion products.
Whilst cash burn is admittedly still Admedus’ largest risk, to my mind the threat of further capital raising or insolvency looms less largely with each passing reporting period. Reckless expenditure of capital has been curbed and revenue forecasts for ADAPT (below) indicate that a significant inflection point could occur this year or early 2019 as the case for value becomes stronger.
**Edit 10th Sep 2018**
Well, things went nothing like this chart...except that the share price had a similar jump, just in the wrong direction. Company remains in voluntary suspension. But I’ll at least await the full details of the new capital structure (refer to #ASX Announcements) before abandoning the bull-case altogether, and maybe just the results of this current quarter.
**Edit 3rd Dec 2018**
Refer to Bear Case.
Post a valuation or endorse another member's valuation.